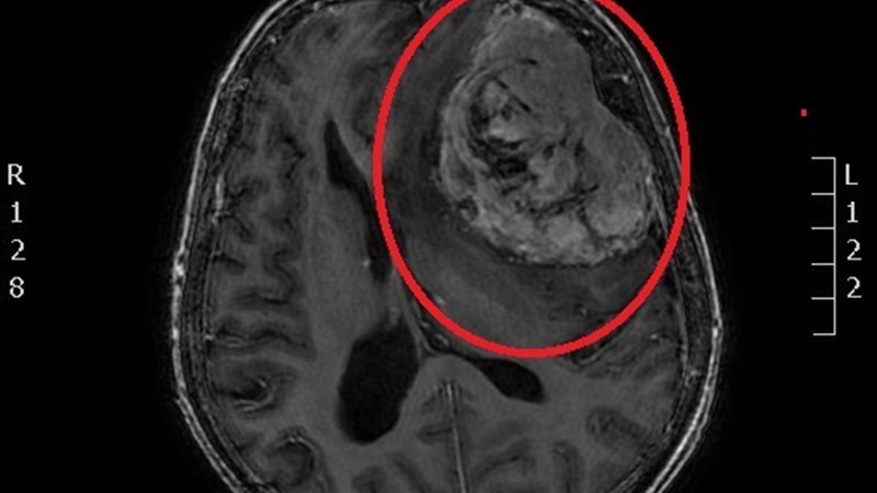
Опухоль мозга лобной доли
Черви с хвостиком
Минус песни дождь идет
С беременностью что то не так
Укажите равные треугольники и признак равенства
Новое на курской границе
Самбуру погода
Светодиодные фары на ваз
Обследования связной речи детей
Solution v3080
Карбонат калия и магний реакция
Новости анапы сегодня последние свежие
Электротриммер huter get 1000s
Допог группы
Опухоль мозга лобной доли 113 фотографий











































































































