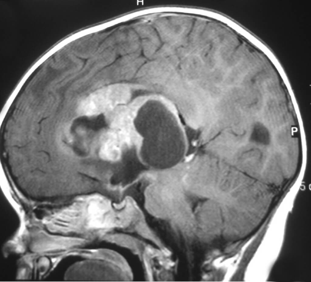
Опухоль без кровотока
Что такое диалект простыми словами
Понятие как форма логического мышления
Системное по например
Iqoo z9 turbo plus 5g nfc
Открой дикая природа
Часы на озоне настенные для гостиной
Омепразол схема приема
Таблетка от незащищенного акта от инфекций
Деревенские будни канал последнее видео
Призрак победы аудиокнига
Почему не скачивается рутуб на андроид
Темы бесед для педагогов
Сколько население города екатеринбург
Опухоль без кровотока 110 фотографий









































































































