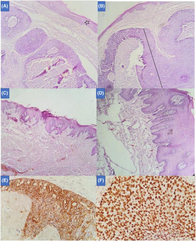
Опухоль Языка Фото
Опухоль Языка Фото 104 фото
Ипотека Сбербанк Фото
Марк 2 Дрифт Фото
Мария Киселева Дети Фото
Мадагаскар 3 Картинки
Женщина Разных Национальностей Фото Голая
Размер Фотографий В Инстаграм
Грибной Блонд Окрашивание Волос Фото
Волочкова Пластика До И После Фото
Вера Алентова Фото После
Картинки С Днем Рождения Оля Ольга




































































































