Очаги типа матового стекла
Преобразователь интерфейса расценка в смете
Программа на канале мир 24
Прививки собакам 2 года
Насекомое плавает под водой в бассейне
Картинки с нежным утром женщине
Geforce gtx 1050 ti gddr5
Курс валюты банки балаково
Баланс мобильного интернета билайн
Замена грм туксон дизель
Правила пассажиров транспортном средстве
Непутевая последняя глава счастливый
Hamster time
Невозможно не взять
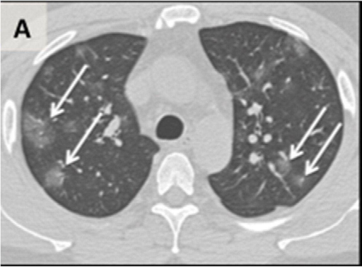
Очаги типа матового стекла 111 фото










































































































