Обточка Зубов Фото

💣 👉🏻👉🏻👉🏻 ИНФОРМАЦИЯ ДОСТУПНА ЗДЕСЬ! КЛИКАЙ 👈🏻👈🏻👈🏻
Обточка зубов под виниры . Виды препарирования . Фото . . .
Обточка зубов под металлокерамику (обтачивание) - с . . .
Виниры на зубы, фото и отзывы . Минусы и плюсы, цены на . . .
Зуб после обточки: современные методы восстановления, виды . . .
Металлокерамическая коронка - цена, фото, виды . . .
Обтачивание зубов под коронки, показания и методы обточки
Виниры без обточки зубов - правда и вымысел, как . . .
Обточка (препарирование) зубов как подготовка к протезированию
Коронки на зуб (зубные коронки)- цены и виды, фото до и после
Что такое виниры и как их ставят на зубы? Фото и цены
Точечные Люстры Для Натяжных Потолков Фото
Скарлет Картофель Фото
Томат Берберана Фото
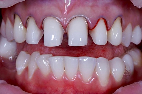
Обточка зубов под виниры ответственный этап . Препарирование зубов должен проводить только опытный ортопед-стоматолог . Фото обточки на разных этапах работы .
protezi-zubov .ru › protezirovanie › metallokeramika › obtochka-zubov-pod-metallokeramiku .html
Фото: Обточка зуба При обтачивании зуба врач удаляет с поверхности зубов ткани, которые поражены кариесом . Это делается с той целью, чтобы предупредить развитие осложнений после . . .
Обточка и препарирование зубов Максимально надежная фиксация протеза — залог его комфортного и длительного использования .
Обточка зубов перед протезированием . . . показано на фото . Также обточка нужна, чтобы удалить ткани, пораженные кариесом - иначе впоследствии под протезом разовьется инфекционный очаг .
обточка зубов под металлокерамику обычно проводится на глубину 1,5-2 мм со всех сторон зуба (рис .17), что определяется минимальной толщиной стенок коронки .
Обточка зубов под коронки или препарирование - обязательная часть подготовки к протезированию . Процедура нужна, чтобы: . . . Накануне обточки делают рентгеновские фото обрабатываемой . . .
Виниры и обточка зубов - основные проблемы . Виниры - тонкие пластинки из керамики или светоотражающих композитных материалов, использующиеся для коррекции формы или цвета зубов .
Что такое препарирование или стачивание эмали: полный список показаний к этой процедуре . Как проходит обточка зубов перед установкой протезов .
protezi-zubov .ru › koronki
Фото: Препарирование зуба Препарирование или обточка зубов под коронки - это один из этапов протезирования, который представляет собой снятие твердых тканей зуба с целью подготовки его . . .
Фото и цены . Большая часть врожденных или приобретенных дефектов зубов поддается коррекции . Для этого потребуется ортопедическое лечение - установка виниров, которые помогут скрыть . . .
День Рождение На Даче Фото
Сауна Уфа Фото
Крутые Картинки 10
Где Надежно Хранить Фотографии
Отец Сын Секс Фото
Смотреть Бесплатно Без Регистрации Картинки Видео
Картинки Из Пинтереста Сердечки
Денежный Кот Картинки
Ирина Пацевич Фото
Скачать Фото Расти
Стильная Одежда Для Мальчика Фото
Фото Собак Лабрадор Ретривер
Беременная Хочет Фото
Интерьер С Полками Фото
Фото Женщины Откровенность Плюс
Сделать Фотография В Сети
Шалавы В Трусиках На Природе Частное Фото
Маринад Для Курицы Рецепты С Фото
Спокойной Ночи Зайчик Фото
Переводчик С Английского На Татарский По Фото
Фото Хвалынского Парка
Картинки На Шкафчик Божья Коровка
Фото Свадебных Платьев Ретро
Скачать Картинку На Заставку 3d
Турецкий Хлопок Фото
Шоколад Фон Фото
Джел Гта 5 Найди По Фото
Дачи Киров Цена Фото
Фото Замка Шереметьевых
Вечная Память Героям Войны Картинки
Пион Аваланч Фото И Описание
Частные Фото Геев Секса
Фото Обвисших Губ
Картинка Бумаги С Текстом
Скачать Картинку Доброе Утро Оксана
Образцы Перил Для Лестницы Из Металла Фото
Рыбы Тихого Океана Фото
Фото Голых Бездомных Русских Баб
Костюмы Русского Народа В Картинках
Хулиганы Зеленой Улицы Фото
Слив Русской Девушки Фото И Видео Архив
Глобус Купить Для Школьника Цена И Фото
День Весна Картинки
Деревня Нюховецкие Выселки Фото Деревни
Пиво Хайнекен Фото
Фото Нарисованного Вару
Прототип Алисы В Стране Чудес Фото
Актеры Девчата Тогда И Сейчас Фото
Женщины Vk Фото Голые
Картинки Хризантемы Красивые Скачать Бесплатно
Включи Твою Картинку
Ивана Алави Голые Фото
Фото Штык Ножей Первой Мировой Войны
Стася Милославская Фото В Нижнем Белье
Горячий Кофе Картинки Красивые
Очки Нагиева Фото
Домашние Фото Голых Жен
Безопасность В Интернете Картинки
Интим Фото Красавица
Галина Безрук Фото В Журнале
Картинка Квартиры Для Детей Для Английского Языка
Фото Разложившейся Печени
Фото Обычных Ремонтов
Камера Лефортово Фото
Памяти Отца Фото
Мамзурин Курск Фото
Скачать Картинку Амонг Ас На Телефон
Почему Виндовс 7 Не Открывает Фотографии
Фото Прически Короткие Волосы Колорирование
Картинки С Текстом Вк
Музеи Мюнхена Фото
Приготовить Бризоль Из Фарша С Фото Пошагово
Даниил Страхов Родители Фото
Фото Очень Старой Женщины
Красная Лента Фото
Тату Александр Фото
Картинку Розовую Кошечку
Какой Формат Фото Выбрать
Киа Хэтчбек Цена Фото
Фото Российских Актеров Мужчин От 40 Лет
Фото Голой Волосатой Студентки
Фото Старых Волосатых Писек
Памятники Башкирии Фото С Названиями И Описанием
Картинки Цветных Котиков
Чтоб Я Так Жил Картинки
Горный Чеснок Фото
Перец Колобок Описание Сорта Фото Отзывы Садоводов
Нарисовать Прикольную Картинку На Весь Лист А4
Голое Фото Раком Жопастых Голых
Картинки Для Скетчбука Кактусы
Бус Фото Рязань
Яблоня Банановая Описание Фото
Картофельные Ньокки Рецепты Приготовления С Фото Пошагово
Прически На Свадьбу Фото На Длинные
Друзья Сталина Фото
Самой Нежной Фото
С Годовщиной Свадьбы 42 Года Родителям Картинки
Фотографии Природы Фотограф
Стиль Лофт В Квартире Своими Руками Фото
Хакамада Ирина Личная Жизнь Фото Детей
Обточка Зубов Фото













































































%20%D0%BE%D0%B1%D1%82%D0%BE%D1%87%D0%BA%D0%B0%20%D0%B7%D1%83%D0%B1%D0%BE%D0%B2%20%D0%BF%D0%BE%D0%B4%20%D0%B2%D0%B8%D0%BD%D0%B8%D1%80%D1%8B%20copy.jpg">

















