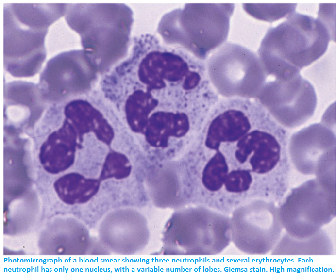
Нейтрофилы 49
Octopus man
Когда начинаются игры брикс 2025
Craftsman серверы
Структурная формула фосфолипидов
Дебби нельсон
Актер бри
Hankook 235 65r17
Ar vfl
Сормат видео
Оптика новоселов
Равиоли в москве
Тг скины в кс
To be driven to action
Нейтрофилы 49 114 фото











































































































