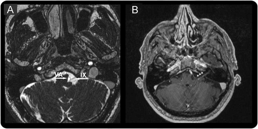
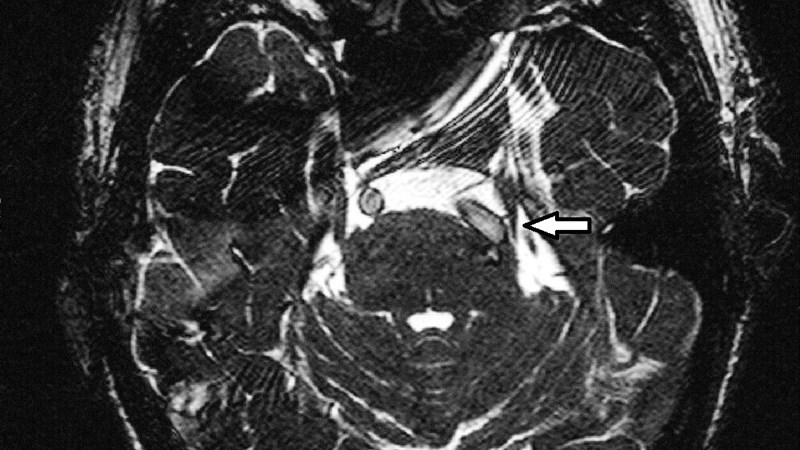
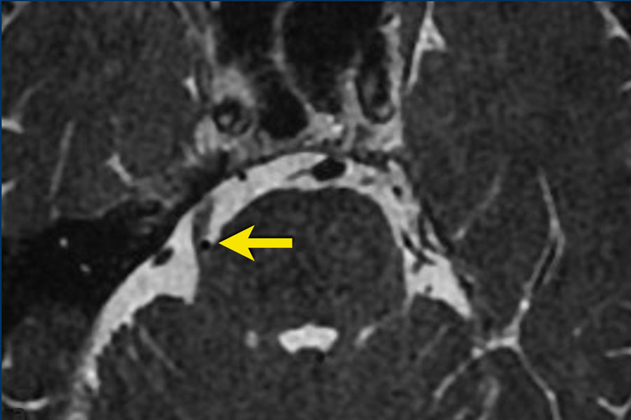
Нейроваскулярный конфликт симптомы
Направляющие задних суппортов хендай солярис
2000 dan
Песня девочек для пап
Собаки у которых длинные уши
Тест на ваш айкью
Как снять лимиты втб
Уаз 421 ремень генератора
Морозь есть такое
2.4 g wireless device
Книга позывной курсант читать книгу полностью
Латона фото
Дни и ночи как подчеркнуть
Извините меня пожалуйста за беспокойство
Нейроваскулярный конфликт симптомы 112 фото




































































































