Небанальная торакалгия
В феврале мы познакомились с женщиной 57 лет, которая поступила с жалобами на постоянные боли в грудном и поясничном отделах больше справа (ЦРШБ 3-4 балла), усиливающиеся при движении, а именно при укладывании на спину и левый бок, со слабостью и онемением правой руки, периодические боли в области живота, общую слабость и запоры.
Её история начинается с лета 2020 года, когда появились вышеописанные боли, с периодическими обострениями, она самостоятельно выполнила рентгеновские исследования позвоночника на которых выявились (ожидаемые) дегенеративные изменения.
К октябрю-ноябрю боли приняли более острый характер до 5 баллов по ЦРШБ, начали иррадиировать в пах, но возникали периодически. Терапевтом были назначены процедуры и медикаменты без значимого эффекта.
Была на трех сеансах у остеопата после которых боли стали носить постоянный характер с эпизодами прорыва до 7-8/10 по ЦРШБ.
После появления слабости в правой руке, пациентка решила поехать в Москву, получила мнение невролога, который, в целом, рекомендовал дообследование. К январю боль уже инвалидизировала и существенно нарушала качество жизни.
Также пациентка сообщила, что с ноября похудела на 10 килограмм.
О боли
Носит скручивающий, тянущий характер (как зубная боль), облегчается во время положения пациента лежа на правом боку (в котором она проводит большую часть своего времени и спит так же на этом боку), усиливаются при вертикализации, укладывании на спину или левый бок. Облегчение пациентка не достигала ни одним из предложенных препаратов (в основном НПВС) до момента встречи.
Дополнительные данные
Из истории болезни пациентки известно, что она имеет анемию неясного генеза.
В возрасте 35 лет ей диагностирован узловой зоб, проведена ТАБ, однако, биоптаты были неинформативны.
Имеет место остеопороз, по поводу которого она ежедневно получает 10000 МЕ витамина Д, кальций, денозумаб; сахарный диабет второго типа - без терапии.
В возрасте 15 лет был впервые диагностирован лимфогранулематоз в связи с чем пациентке проведена спленэктомия с последующей лучевой и лекарственной терапией и достижением ремиссии заболевания.
Из проведённых операций также имеется гистерэктомия в связи с обильными кровотечениями из множественных миом.
Неврологический статус
Снижение эмоционального фона, шейно-грудной кифосколиоз, движения в позвоночнике ограничены в грудном и поясничном отделе при наклонах, пальпация параспинальной мускулатуры болезненная, триггеры в проекции верхней порции трапециевидой мышцы справа, леватора лопатки и ромбовидой мышцы слева, подостных мышц с двух сторон, симптомов натяжения нет. Гипестезия по ладонной и тыльной поверхности кисти, слабость движений кисти до 4 баллов (без четкого паттерна поражения), рефлексы с правой руки слегка оживлены. Умеренное болевое поведение, пациентка долгое время не может находиться в одном положении, постоянно меняет позы, лежит на правом боку.
Sic! Женщина 57 лет с жалобами на постоянные боли в грудном и поясничном отделах больше справа ВАШ 7, усиливающиеся при движении до ВАШ 9-10, при этом отмечается вынужденное положение тела, слабость и онемение правой кисти (больше 4-5 пальцев), периодические боли в области живота, общая слабость, запоры. В анамнезе имеется первичный постменопаузальный остеопороз без патологических переломов. Вторичный гиперпаратиреоз. Узловой зоб 0 ст ВОЗ. Эутиреоз. Сахарный диабет тип 2 легкого течения, субкомпенсация. Сложный онкоанамнез, лимфогранулематоз в 15 лет (в ремиссии), множественными миоматоз матки с выполненной гистерэктомией, депрессивное расстройство.
Медикаменты на момент поступления:
- Золофт(сертралин) 25 мг;
- Витамин Д 10000 МЕ в сутки
- Натекаль (кальций + витамин Д) 1500 мг + 400 МЕ
- Пролиа(денозумаб) 60 мг 1 раз в 6 месяцев (последняя п\к инъекция в ноябре 2020 года)
Мысли вслух
Наш дифференциальный диагноз
- Патологический перелом позвонков грудного и/или поясничного отдела позвоночника
- Рецидив лимфогранулематоза
- Онкопроцесс, не ассоциированный с ранее выявленной лимфомой, первично локализующийся в щитовидной железе (ранее взятые биоптаты были неинформативны), гинекологической сфере или пищеварительном тракте.
О сложностях
Основной сложностью в ее обследовании мы обнаружили для себя яркий болевой синдром, что не позволял уложить ее в томограф. Обезболивание с применением местных анестетиков, антидепрессантов, парацетамола в высоких дозах не приносило облегчение. Легкое облегчение принесли стероидные гормоны. Применением опиоидных ненаркотических анальгетиков не упрощало задачу. В связи с чем в ожидании седации, обследовании немного затянулось.
В крови примечательно было повышение уровня ПТГ до 10.4 пкмоль\л (норма 1.26-7.58), СРБ 131,0 мг\л (норма 0-6), ионизированый кальций 1,04ммоль\л (норма 0,98 - 1,31), СОЭ 40 мм\ч (норма 2-15). В общем анализе мочи микрогематурия до 25-30 в поле зрения. Помимо этого отмечались нормальные значения щелочной фосфатазы, креатинина . В ОАК обращал, на себя внимание тромбоцитоз до 604 10^9\л, анемия до 107 г\л (норма 117-160), на фоне незначительно сниженного гематокрита 32,3% (норма 35-47), лейкоцитоз до 21.25 10^9 (норма 4-10).
О сканах (все исследования выполнены под внутривенной седацией)
В попытке исключить предполагаемые выше заболевания, первым было выполнено МРТ грудного отдела позвоночника, которое не показало явлений патологического перелома или иных остеальных процессов в канале спинного мозга.
По данным КТ органов грудной клетки В S1/2 верхней доли левого легкого, парамедиастинально определяется, очаг с четким ровным контуром, размерами 4х4мм вероятно метастатического характера.
Выполнено УЗИ лимфатических узлов где выявлено увеличение, воспалительные изменений шейных, подчелюстных, левых над- и подключичных лимфоузлах.
Для поиска причин слабости правой руки выполнено МРТ головного мозга, где в левой лобной доле ( прецентральной извилине и прилежащих отделах белого вещества) определяется объемное округлое образование аксиальными размерами 19х20мм, вертикальным размером 23 мм, окруженное перифокальным отеком. На постконтрастных изображениях, отмечается интенсивное накопление контрастного препарата, с неконтрастируемым участком в центре.
Однако, все выше изложенное говорило о метастатических процессах, первичный очаг которого не удавалось найти.
Только мы хотели делать МРТ брюшной полости, как обратили внимание, на то, на что не обращали ранее.
На МРТ грудного отдела позвоночника уже был ответ.
На пересмотре МРТ органов грудной клетки при котором в забрюшинном пространстве от уровня отхождения чревного ствола и почечных артерий, парасаггитально больше слева, было обнаружено объемное образование неоднородной структуры , с бугристы контуром, размерами 125х150х65мм, оказывающее воздействие на прилежащие структуры.
Иными словами, если обратить внимание на положение нижней половой вены (в положении лежа пациентки), видно ее оттеснение и компрессию.
На наш взгляд, это образование и было той самой причиной из-за которой пациентке было больно лежать на спине и на левой боку, и вынужденное положение на правом боку приводило к снижению давления на структуры вокруг образования.
Резюмируя
Пациентка 57 лет с отягощенным онкоанамнезом, со слабостью правой руки, болями позиционного характера, снижением веса, лимфоаденопатией лимфатических узлов верхней части тела, гомогенной опухолью забрюшинного пространства с предположительными метастазами в легкие и головной мозг, вероятно как рецидив лимфомы.
На фоне дексаметазона, который сразу дал желаемый эффект в виде уменьшения болей и повышения активности пациентки (эффект был замечен при локальной инъекции дексаметазоном в триггерные точки, до выполнения сканов) пациентка была направлена на биопсию.
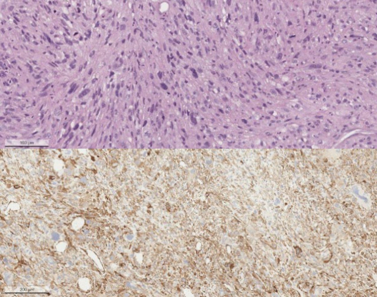
И вот недавно нам передали данные биопсии из того конгломерата который мы видели.

Нижний: экспрессия caldesmon в цитоплазме клеток
Не углубляясь в патогистологию скажем, что это соответствует лейомиосаркоме.
В отношении образования в голове мы не уверены, пусть коллеги онкологи поправят меня, но саркомы в голову метастазируют редко (чаще в легкие до 70% случаев). Сам метастаз в головной мозг считается крайне плохим прогнозом.
Выводы
С этим случаем было 2 сложности:
- Боль которая не позволяла уложить пациентку в томограф, что при отсутствии возможности проведения внутривенной седации затрудняло диагностику
- Неврологи смотрят в спинной мозг, а при запросе на МРТ грудного отдела позвоночника все смотрят только на грудной отдел позвоночника!
Этим постом мы хотели еще раз напомнить коллегам про важность тщательного изучения имеющихся параклинических данных, ведь, иногда ответ уже есть на снимках, которые мы делали ранее и по совсем другому поводу...