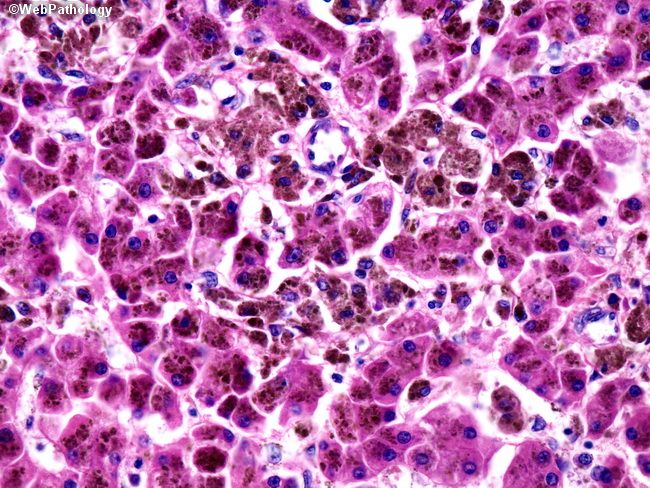
Мутация гемохроматоза
Мутация гемохроматоза 115 фотографий
Лейкоцитов 20 в кале у
Предохранители печки хендай солярис
Соотношество в контактах кардымово
Патронаж новорожденного мкб
Калькулятор налогов 2020
Pilot frixion синяя
Сайт загса коломна
Кошку надо усыпить
Фабрика мебели диа мебель
Томск казахстан поезд
Реакция гуфа
Травматический шок и синдром длительного сдавливания
Емкость из пищевой нержавеющей стали
Разбираю луаз
Сажевый фильтр пассат б8
Тольятти кузов калина
Что можно приготовить из филе диетическое
Как добраться из сочи до гагра абхазия
Крекер три кота
Перекресток акции дзержинск












































































































