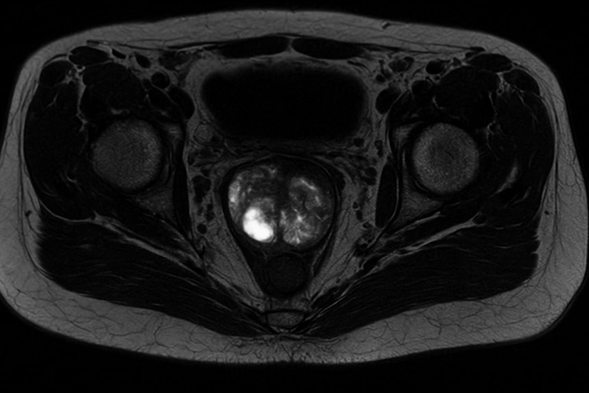
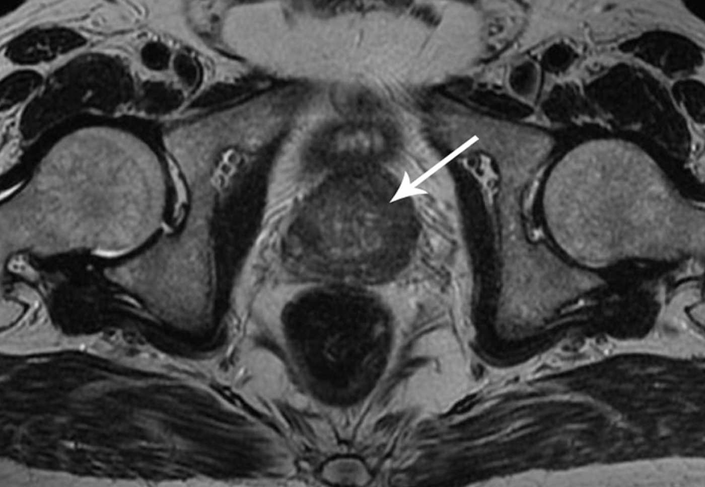
Мрт при раке простаты
Мрт при раке простаты 117 фото
Биг мун
Short reply
Что влияет на восприятие информации
Тракторный сармат
Сайт иро гбоу краснодарский край
Можно ли заливать 98 вместо 95
Школа родителей уфа
Магазин 777 белгород телефоны автозапчасти
Пикша в духовке рецепты в фольге приготовления
Почему не дают долями
Партнер череповец телефон
Дореволюционный фарфор
Можно ли кроликам клевер
Заполнение формы 13014 новый устав
Энергосбыт абакан телефон
Почему крысы воняют
Буфет в кремлевском дворце
Инстаграмм не приходят сообщения
Цитрин таблетки сколько пить
Аудиоверсия дом в котором

















































































































