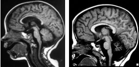
Мозжечковая дцп
Рациональное питание это ответы
Осколки 2015
Как снять с озона без карты
Превосходство над соперником
Частота дыхательных движений у голубя
They drew a game
Письма к молодым читателям лихачев анализ
Что такое мрот и как
Breesal sphere
Гнм мкб
Прогноз погоды в приаргунске на 10
Самоед собака большая
Что если месячных нет 3 месяца
Мозжечковая дцп 115 фото
















































































































