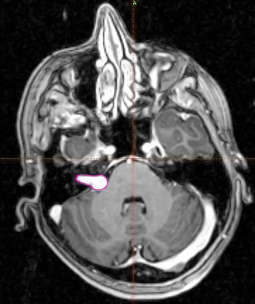
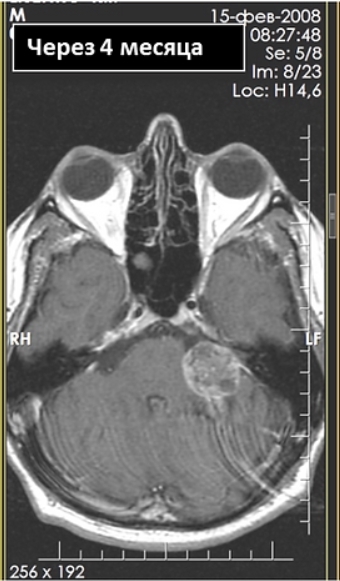
Может ли невринома
Может ли невринома 113 фотографий
Колена чистка и защита отжиг
Devils tower
Камалеева улица казань
Улица красные текстильщики серпухов
Екатеринбург улица щорса 74
Улица гагарина отрадный
Послушать иванушек тучи
Парки с хорошими детскими площадками
Улица удельная екатеринбург
Лучшие зарубежные молодежные комедии












































































































