Молочница Вагины

👉🏻👉🏻👉🏻 ВСЯ ИНФОРМАЦИЯ ДОСТУПНА ЗДЕСЬ ЖМИТЕ 👈🏻👈🏻👈🏻
в Клиническом госпитале «АВИЦЕННА» Группы компаний «Мать и дитя»
Гинекологическая помощь в медицинских клиниках «Мать и дитя» — это забота о здоровье женщины на каждом этапе ее жизни. Мы предлагаем полный спектр услуг в области гинекологии: диагностику, профилактику и лечение всех видов гинекологических заболеваний – консервативное и оперативное. Квалифицированная помощь при климактерическом синдроме и менопаузе – также в нашей компетенции.
Диагностика женского здоровья в «Мать и дитя» включает все существующие на сегодняшний день виды и методы лабораторных и функциональных исследований организма женщины. Лечение гинекологических заболеваний в клиниках «Мать и дитя» — это применение безопасных и эффективных методов медикаментозной терапии, физиотерапии и малоинвазивной хирургии.
Консервативные методы лечения в гинекологических центрах «Мать и дитя» помогут решить следующие проблемы:
В наших центрах проводятся как малые операции в стационаре одного дня, так и большие операции, проводимые как лапароскопически, так и лапаротомически, а также влагалищным доступом. Кроме того, гинекологических стационарах «Мать и дитя» проводятся пластические операции в гинекологии.
Оперативная гинекология в наших центрах — это высокотехнологичные малотравматичные органосохраняющие операции; возрастная гинекология 45+.
Послеоперационная реабилитация – неотъемлемая часть лечения в гинекологических клиниках «Мать и дитя».
В Клиническом Госпитале Лапино «Мать и дитя» доступны эффективные в лечении хронических гинекологических заболеваний методы физиотерапии, а также тренировки мышц тазового дна с помощью БОС терапии.
Ведение беременности и ЭКО – наш профиль. Специализация наших клиник позволяет решать задачи планирования семьи и репродукции.
Регулярное посещение гинеколога – не реже 1 раза в год – залог женского здоровья. Своевременная компетентная диагностика позволяет предупреждать большинство гинекологических заболеваний.
Задать вопрос или
записаться на прием
Клинический госпиталь «АВИЦЕННА» работает в Новосибирске с ноября 1996 года. Сегодня это дополняющие друг друга многопроф... Подробнее
Заведующая поликлиническим акушерско-гинекологическим отделением, врач акушер-гинеколог высшей квалификационной категории
Главный врач, врач акушер-гинеколог второй категории
Врач акушер-гинеколог высшей категории, врач ультразвуковой диагностики высшей категории, специалист по пренатальной диагностике
Акушер-гинеколог, Врач ультразвуковой диагностики
Врач акушер-гинеколог первой квалификационной категории
Врач акушер-гинеколог высшей категории
Врач хирург-онколог, акушер-гинеколог высшей категории
Заведующая отделением малоинвазивной гинекологии и тазовой хирургии, врач-гинеколог
Заведующий акушерским отделением патологии беременности, врач акушер-гинеколог
Врач акушер-гинеколог, хирург-эндоскопист
Акушер-гинеколог, Хирург-эндоскопист
Спасибо, что подписались на нашу
рассылку «Новости, публикации
и спецпредложения».
Имеются противопоказания.
Необходима консультация специалиста
Мобильная версия Мать и Дитя ©2021. Все права защищены. ООО «ХАВЕН»
К сожалению, ваш список услуг пуст. Исправить это недоразумение очень просто: выберите в разделе "Цены" интересующую вас услугу и нажмите «Выбрать».
Ваш список услуг сформирован и отправлен на почту
Реклама+ Тест на рак шейки матки бесплатно. Опытный доктор. Комфорт пациента. Звоните! · пн-пт 8:00-20:00, сб 8:00-15:00
Комфорт пациентки · Прием без очередей
Есть противопоказания. Посоветуйтесь с врачом.
https://medportal.ru/enc/gynaecology/candidosis/3
Симптомы молочницы
Осложнения
Когда обратиться к врачу
Причины
Факторы риска
Диагностика кандидоза
Профилактика кандидоза
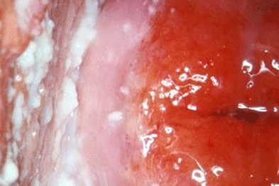
Симптомы кандидозной инфекции могут варьироваться по интенсивности и включают следующие: 1. зуд и раздражение влагалища и вульвы; 2. ощущение жжения, особенно во время полового акта или мочеиспускания; 3. покраснение и отёк вульвы; 4. болезненность влагалища; 5. влагалищные высыпания; 6. водянистые влагалищные выделения; 7. густые творожистые вы…
https://medportal.ru/enc/gynaecology/reading/candidosis-vaginosis
12.07.2019 · Так, с вагинозом в течение жизни сталкивается до 70% женщин, с молочницей – до 75% (около 5% женщин страдают …
Sarah Says: How to treat vaginal thrush
Vaginal Discharge Colours | Is My Discharge Normal:Thrush, Bacterial Vaginosis, STI, Yeast Infection
молочница, женские выделения - все проходит
What is Vaginal Thrush? Symptoms, Signs, Causes and Treatment
The Different Types Of Treatment For Vaginal Thrush Explained
https://obolezni.com/venericheskie/candidiasis/molochnitsa-u-zhenshhin-foto
17.06.2017 · Симптомы вагинального кандидоза. Помимо выделений, признаками заболевания выступают рези при мочеиспускании, сильный зуд и жжение. Впоследствии шелушится кожа на малых …
14.06.2020 · Молочница или кандидоз может быть поверхностным или висцеральным. Чаще всего встречается молочница у женщин. Обычно ее лечат при помощи свечей и таблеток, но молочница …
https://www.zppp.saharniy-diabet.com/kandidoz-molochnica-kandida/na-tele3/polovyh...
Молочница вульвы – это поражение грибком кандида наружных половых органов. Кандидоз вагины – это интенсивное размножение грибка в области внутренних половых органов.
https://venerologia03.ru/molochnitsa/ot-nervov-u-zhenshhin.html
20.05.2017 · Эти микроскопические существа у вполне здоровых девушек присутствуют во влагалищной микрофлоре, но не в больших количествах. Под …
https://psoriazweb.ru/dermatity/kandidoz-priznaki-vidy-perechen-preparatov-bifilakt...
28.04.2021 · Кандидоз или молочница ― это грибковое, инфекционное заболевание, вызываемое условно-патогенными грибками рода Candida. Микроорганизмы присутствуют у большинства …
https://www.cosmo.ru/health/your_health/kak-lechit-molochnicu-9-faktov-kotorye-ty...
Молочница бывает бессимптомной. Кстати, молочница не всегда сопровождается яркими …
Она не передается половым путем. Молочница уже давно не относится к заболеваниям, …
Она развивается на фоне других инфекций. Случается, что кандидоз развивается на фоне …
Молочницу не вылечить одной таблеткой! По телевизору нередко можно увидеть рекламу, …
https://nya-shka.ru/raznoe/belye-vydeleniya-no-ne-molochnica.html
04.10.2017 · Молочница или инфекция грибка кандида. Симптомы заболевания молочницей отличаются обильными творожистыми выделениями. Вместе с этим возникает зуд и жжение во …
РекламаГинекология в мед.центре "Юнона"! Опытные врачи. Современное оборудование. · пн-пт 8:00-20:00, сб 8:00-17:00, вс 9:00-15:00
Консультации · Лечебная косметология
Есть противопоказания. Посоветуйтесь с врачом.
РекламаАктивно участвует в лечении хронических воспалений в гинекологии.
Не вызывает привыкания · Воздействует системно
Есть противопоказания. Посоветуйтесь с врачом.
Не удается получить доступ к вашему текущему расположению. Для получения лучших результатов предоставьте Bing доступ к данным о расположении или введите расположение.
Не удается получить доступ к расположению вашего устройства. Для получения лучших результатов введите расположение.
Мульт Анимация Порно
Медсестра В Чулках Дрочит Пациенту
Лощад И Девушка Порно
Фото Обнаженной Кэти Перри
Обнаженная Елка
Вагинальный кандидоз (молочница) - симптомы, леч…
Молочница и бактериальный вагиноз: как отличить и лечит…
Молочница у женщин - фото, как поставить диагноз ...
Молочница или кандидоз – это заболевание, чаще всего ...
Молочница вульвы и вагины (вульвовагинальный кандидоз)
Молочница на нервной почве у женщин
10 способов борьбы с налетом на языке и причины его ...
Как вылечить молочницу - Cosmopolitan
Белые выделения но не молочница
Молочница Вагины

















































