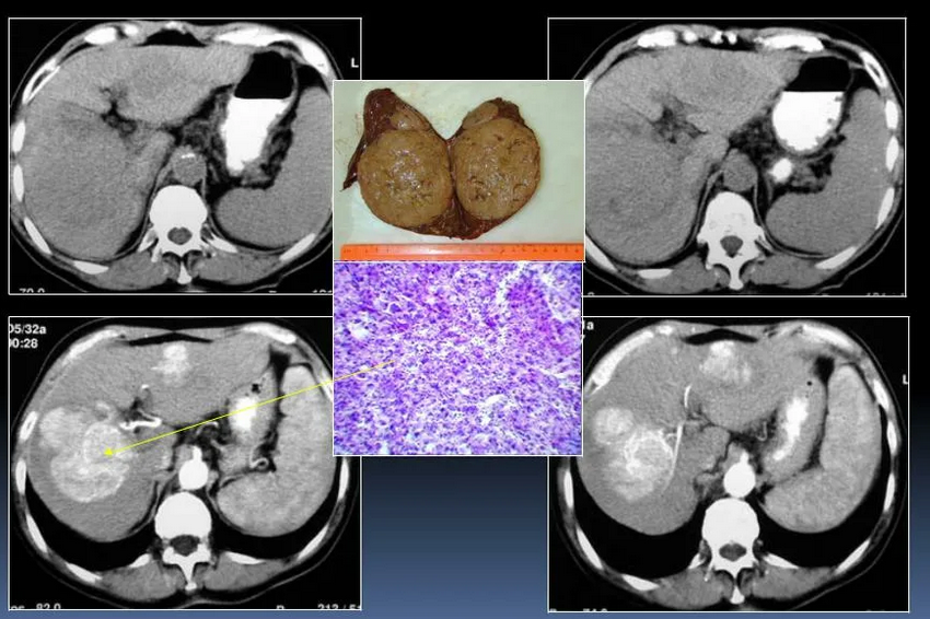
Множественные mts печени
Сосна дикорастущая
Судороги пальцев ног ночью
Выставка кошек нефтекамск 2025
Есть ли камеры в туалетах поездов
Сколько по времени делается карта втб
Почему работаем 27 апреля за какой день
Детская художественная литература диккенс ч
Берега дружбы 2025
Сопереживание дорогою добра изо 4 класс
Дтп чп спб incident
Denzel gld 460
Марки морозильников
Как вернуть очищенные истории
Множественные mts печени 118 фотографий










































































































