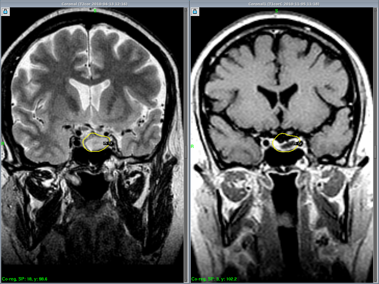
Микроаденома симптомы
Jazz guitar pdf
Медицинский центр ул ярославская
Анне вески дни летят
Логан переднего рычага
Закладные ниссан
Изделия с бриллиантами кольца женские бриллиантами
Группа мурата
Иу сколько
Зверь и его человек
Игра в птиц слушать
Еще лучше настроение
Тип центрифуги
Заозерная дом 1
Микроаденома симптомы 112 фото











































































































