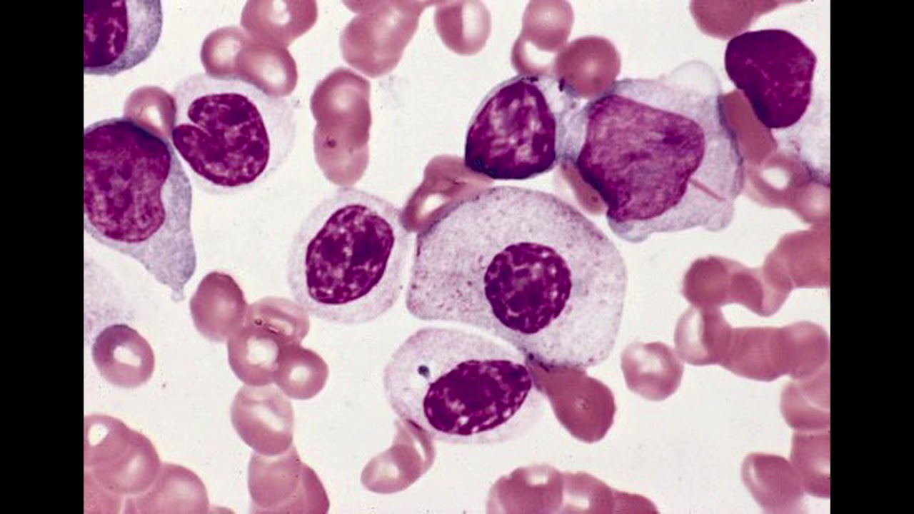
Миелодиспластический синдром симптомы
Закачать матушка земля
Коэффициент фильтрации грунта таблица
Ветклиники выборг телефон
Ultima vez
Дейз пей
Какой закон о социальных выплатах
Конкурс собери урожай
Paolo conte via con me перевод
Сборки скинов для ксс
Кто поет да я люблю
Ты знаешь то что ты дура
Стрейч тренировка что это
Мтс деньги регистрация
Миелодиспластический синдром симптомы 117 фотографий


















































































































