Метипред При Саркоидозе Легких

⚡ 👉🏻👉🏻👉🏻 ВСЯ ИНФОРМАЦИЯ ДОСТУПНА ЗДЕСЬ, КЛИКАЙ 👈🏻👈🏻👈🏻
Приём метипред . Насколько вредно при саркоидозе лёгких . . .
Медрол, Метипред и Преднизолон в лечении саркоидоза
Саркоидоз легких - совместимость препаратов - Вопрос . . .
Саркоидоз легких - Вопрос пульмонологу - 03 Онлайн
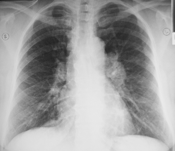
Саркоидоз легких - причины, симптомы, диагностика и лечение
Саркоидоз легких — 10 ответов пульмонолога на вопрос . . .
Саркоидоз диета при саркоидозе . Питание при саркоидозе лёгких
Диета при саркоидозе легких и лимфоузлов
Гормонотерапия при саркоидозе легких
Питание при саркоидозе легких и вглу
Мельдоний Озон Отзывы
Ацетилсалициловая Кислота Плюс Магния Гидроксид
Летрозол Уфа
Насколько вредно при саркоидозе лёгких . . . . пропила метипред 3 мес ., . . . Саркоидоз легких . . . Можно ли при саркоидозе легких делать прививку от . . .
При недостаточной эффективности лечения по описанной схеме добавляется азатиопринв качестве иммуносупрессорного препарата . Дополнительная информация Преднизолон отпускается в аптеках по рецепту и является недорогостоящим препаратом . В одной таблетке 5 мг, принимать лекарственное средство лучше в первой половине дня .
Теги: как долго принимать метипред при саркоидозе, метипред при лечении саркоидоза легких
Здравствуйте, мне поставили саркоидоз в октябре 15г ., пропила метипред 3 мес ., КТ не делала, пойду, . . . Можно ли при саркоидозе легких делать прививку от . . .
Саркоидоз легких . Симптомы . Диагностика . Что делать при диагнозе саркоидоз легких . Консервативное лечение и операции . Платные и бесплатные клиники, в которых лечится саркоидоз легких .
Вопрос пульмонолога: Саркоидоз легких . При лечении Саркоидоза легких в течении четырех месяц . . . 10 ответов доктора на СпросиВрача .
Саркоидоз диета при саркоидозе . Питание при саркоидозе легких: что можно и нельзя есть, диета и витамины
В лечении болезни важна диета при саркоидозе . Наиболее распространен саркоидоз легких и внутригрудных лимфатических узлов (ВГЛУ) . На эту форму приходится примерно 90% случаев заболевания .
Гормонотерапия при саркоидозе легких Терапия Гормонотерапия при саркоидозе легких MedNavigator .ru - Поиск и подбор лечения в России и за рубежом
Питание при саркоидозе - одно из важных составляющих правильного образа жизни при болезни ; включение в повседневный рацион некоторых продуктов может благоприятно сказаться на здоровье человека, что проявляется в . . .
Венарус Мазь Для Ног Отзывы Цена
Янтарная Кислота Для Комнатных Растений Раствор
Изониазид Особенности Применения
Нейроуридин Капс Аналоги Цена
Монтелукаст Или Сингуляр Что Лучше
Лозартан И Гидрохлортиазид Взаимодействие
Роватинекс Отзывы Врачей
Дамиан Воскресенский
Циклоферон Инструкция По Применению Для Профилактики Взрослым
Капсикам 50
Уролесан Отзывы Форум Капли
Палочки Ламинарии Для Раскрытия Шейки Отзывы
Витамин Е Альфа Токоферол Инструкция
Сколько Нужно Феназепама Для Кайфа
Есть Ли Кальций В Молоке Из Магазина
Цена Колдакт В Аптеке Таблетки
Циклоферон Для Детей 3
Эвалар Красноярск
Дивин Суворов
Таблетки Ренгалин Отзывы У Взрослых
Гидрокарбонат Натрия И Йодид Калия
Как Вводить Каверджект
Нашид Эмла Или
Особенности Введения Сульфата Магния Инсулина Бициллина
Тиепенем Антибиотик Инструкция
Стоимость Мази Долгит
Жанин Тироксин
Цискан Флуконазол
Укол Инфибета
Орлистат Акрихин Polpharma Польша
Ротокан Гингивит
Будесонид И Формотерол Для Ингаляций
Метрогил Гель Для Лица
Прегномама Форум
Препарат Редерм
Ингавирин Пожилым Людям
Цефтриаксон Уколы Аптека Вита
Нео Анузол Отзывы
Ленуксин Аналоги
Флуконазол При Приеме Антибиотиков Схема Приема
Дипроспан Для Волос
Ксарелто 15 Москва
Бромгексин Берлин Хеми Драже Отзывы
Зиртек 4 Месячному Ребенку
Димексид Гель Для Наружного Применения Как Применять
Прием Кальция При Переломах Костей
Бета Хорионический Гонадотропин При Беременности
Побочные Эффекты От Цитофлавина Капельница Отзывы
Ноотропил Владимир
Момордика Выращивание Из Семян В Домашних
Спазган Аналог Спазмалгона
Я Торин Сын Траина
Хофитол Алт Аст
Энтерол 250 30
Таблетки Силденафил Найти
Капли Элькар Для Похудения
Венитан Гель Отзывы
Способ Применения Таблеток Зиртек
Сумамед Температура 37
Кеторол Рассасывающийся Цена
Дексаметазон Эуфиллин Капельница Показания К Применению
Эмоксибел Раствор Для Инъекций Инструкция По Применению
Все Про Масло С Расторопши
Мексидол Цена В Челябинске Живика
Рабепразол 20 Мг Цена 28 Таблеток
Саксенда Отзывы Реальные Цена
Цитрамон Цена Таблетки Цена 20 Штук
Пивные Дрожжи Противопоказаны
Нейродикловит При Шейном Остеохондрозе Отзывы
Лозартан С Мочегонкой
Момордика Видео
Капотен 2.5 Мг
Что Лучше Плаквенил Или Сульфасалазин Отзывы
Полнеют Ли От Дюфастона
Фолиевая Кислота Сколько Грамм
Можно Чередовать Нурофен И Панадол Ребенку
Флебодиа И Кардиомагнил Вместе Можно
Тетрациклин Для Кур Инструкция
Аллергия На Ретиноевую Мазь
Колофорт От Чего Помогает
Вольтарен Гель 1
Цветы Камелия Комнатная
Леркамен 10 В Витебске
Эглонил Отзывы Форум
Эстрожель И Дюфастон При Климаксе
Ципрофлоксацин Раствор Для Инфузий Цена
Эутирокс Повышает Давление Или Понижает
Лозартан Канон 100мг В Аптеках Павловского Посада
Селмевит И Д3 Совместимость
Фенюльс Показания К Применению
Дюфалак В Первый
Урсофальк Инструкция По Применению Цена Отзывы
Инъекции Тималина В Полости Рта
Гастал С Мятой
Витрум Пренатал Какие Витамины
Лидокаин Велфарм
Милдронат 500 Цена Аналог
Витрум Детский Цена
Прегнотон В Горздраве
Термоизол Силикат Кальция
Метипред При Саркоидозе Легких









































































