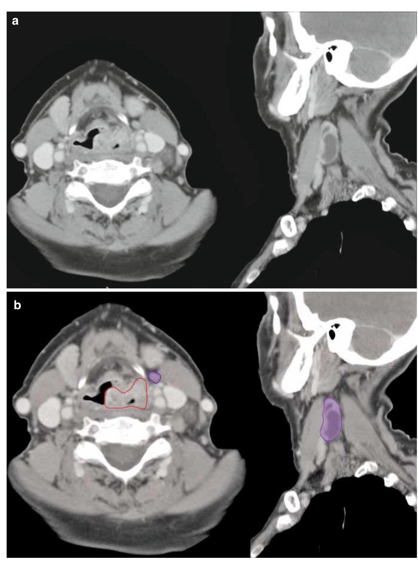
Метастаз Шеи Фото
Скарлет Картофель Фото
Фотография Думал
Сырники Детские Рецепт С Фото
Лебедь В Полете Фото
Двигающиеся Картинки Супер Кота
Рецепты Рыбных Праздничных Салатов С Фото
Кофе И Волки Фото
Картинки Найди 8 Отличий
Юрий Актер Фото
Фото Про Любовника
Семейные Домашние Интим Фото
Блендер Купить В Смоленске Цены И Фото
Фотографии Больших Пазлов
Метастаз Шеи Фото 113 фотографий











































































































