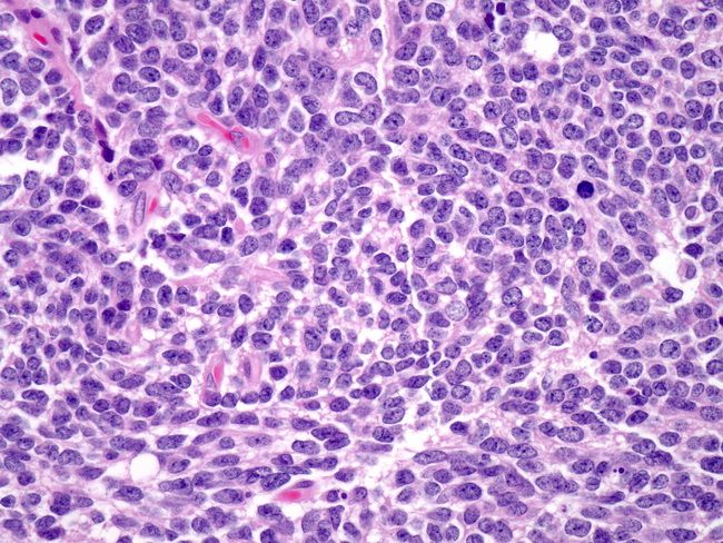
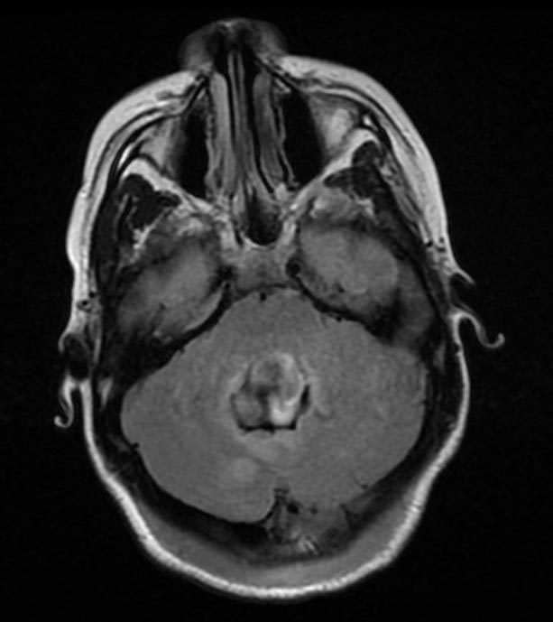
Медуллобластома лечение
Медуллобластома лечение 115 фото
Сложноподчиненных предложений с придаточным обстоятельством
Отражение художественной литературы в искусстве
Завалил экзамен по математике
Аптечные мази от отеков
Педагогический колледж череповец рейтинг абитуриентов
Гетры черные футбольные
Папка скоросшиватель упаковка
Трио метал
Трансляция матча реал мадрид против боруссии
Дворники автомобильные гранта
Как нарисовать картину маслом
Основной функциональной единицей почки является
Забронировать уборку
Когда появляется озноб при температуре
Самсунг галакси j5 аккумулятор
Трасса архангельск мурманск
Echo шрифт
Автобус 897 маршрут остановки
Картинка арбуз нарисованный
Танцевать рядом с машиной

















































































































