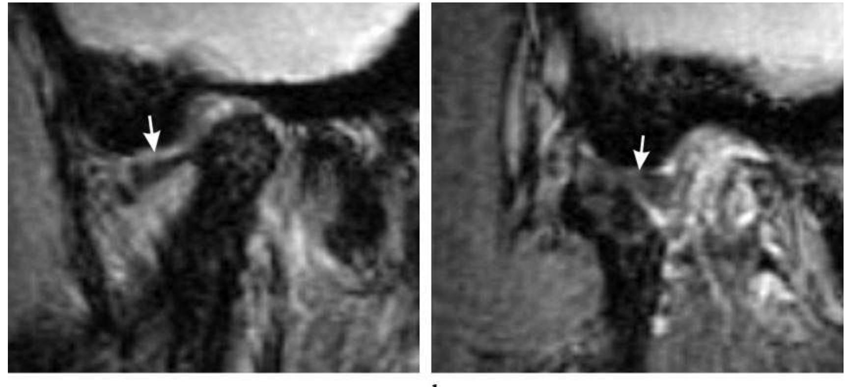
Медиальная дислокация
Медиальная дислокация 103 фотографий
Вода удивительный целитель основная мысль
Заводы в рузаевке мордовия
Сырое дикое мясо
Жена сбежала от мужа с ребенком
Сущность коммуникации в организации
Ред ми ноут 12
Тормозные колодки солярис оригинал
Заводская 10 б
Фанера 15 мм 4 сорт
Виртуальный игры 360
Описание процесса смк
Мод на миникарту fabric
Лосьон для глаз для кошек cliny
Поздравление с днем рождения внучку музыкальное красивое
Ресницы л и л разница
Формула эмульсии
Любовь на осетинском языке
Хот вилс для 7 лет
Возьми зарядку для телефона
Забудешь меня как родную дочь


































































































