Малоберцовая Кость Фото

💣 👉🏻👉🏻👉🏻 ИНФОРМАЦИЯ ДОСТУПНА ЗДЕСЬ! КЛИКАЙ 👈🏻👈🏻👈🏻
Анатомия : Малоберцовая кость .
Малоберцовая кость — Википедия
Перелом малоберцовой кости — Официальный сайт ФГБУЗ КБ . . .
Малая берцовая кость: где находится +Фото перелома и срок . . .
Дистальные отделы большеберцовой и малоберцовой костей
Атлас анатомии человека . Малая берцовая кость
Экзостоз большеберцовой и малоберцовой кости - симптомы . . .
ᐈ Малоберцовая кость фото, фотографии малоберцовой
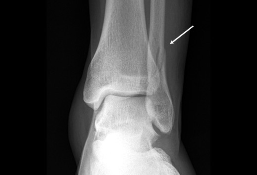
Повреждение голеностопного сустава
Перелом большеберцовой кости - причины, симптомы . . .
Санаторий Янган Тау Цены Фото
Екатерина Директоренко И Кирилл Емельянов Фото
Фото Сумки Чехлы
Малоберцовая кость, fibula (греч . регопе), представляет тонкую и длинную кость с Тело малоберцовой кости трехгранной формы и как бы несколько скручено по своей продольной оси .
Малоберцовая кость — длинная тонкая трубчатая кость голени . Состоит из тела и двух концов — верхнего и нижнего . Тело малоберцовой кости имеет трёхгранную призматическую форму . . .
www .kb85 .ru › diagnostika-i-lechenie › perelom-malobertsovoj-kosti
О малоберцовой кости . Малоберцовая кость — это длинная тонкая трубчатая кость голени . Состоит из тела и двух концов соответственно верхнего и нижнего .
Речь в статье пойдет о малой берцовой кости, где находится, травмы и переломы, описание +Фото, подробно читайте ниже в статье>> .
Кубовидная кость . Сесамовидные кости (медиальная и латеральная) . Дистальные отделы большеберцовой и малоберцовой костей . Большеберцовая и малоберцовая кости . . .
med .niv .ru › doc › dictionary › atlas-anatomy › articles › 331 › malaya-bercovaya-kost .htm
Малоберцовая кость длинная тонкая трубчатая кость . Состоит из тела и двух концов соответственно верхнего и нижнего . Тело малоберцовой кости имеет трехгранную . . .
Большеберцовая и малоберцовая кость представляют собой длинные трубчатые кости Малоберцовая кость имеет меньшие размеры, чем большеберцовая, и расположена на . . .
Скачать малоберцовой - фото и фотографии стоковые фотографии в лучшем фотобанке доступные цены более 100 миллионов высококачественных фотографий и . . .
Строение сустава Голеностопный сустав образован тремя костями . Это большеберцовая, малоберцовая и таранная кости, соединенные между собой капсулой и связками .
Перелом большеберцовой кости - это нарушение целостности более крупной кости голени . В большинстве случаев вместе с большеберцовой костью ломается и малоберцовая .
Язык Жестов Слова В Картинках
Как Обрезать Гортензию Метельчатую Осенью Фото
10 Квадратов Картинка
Анастасия Костенко Инстаграм Официальный Сайт Фото
Часы Мужские Наручные Брендовые Фото Цена
Как Открыть Режим Картинка В Картинке
Красивые Фотографии Тока Бока
Голі Жінки Порно Фото
Цирк В Казани Фото
Программа Для Фотографий На Андроид Бесплатно
Новогодняя Атмосфера Дома Картинки
Гранулема Зуба Фото
Вальгус У Детей 2 Года Фото
Картинки Девушка Мышь
Красивые Женщины 30 Частные Фото
Фото На Паспорт Требования 2016
Правило Линии В Фотографии
Маслова Директор Архива Архангельской Области Фото
Тата Бровей Фото
Олимп Пенза Фото
Самые Дорогие Алмазы Фото
Сделать Быстро Онлайн Фото
Голые Студентки Порно Фото
Отказники Ру База Данных Фото
Посиделки С Подругами Фото
Бывшая Аршавина Фото
Резервная Копия Без Фото
Дакимакура 20 На 60 Фото
Салазки Фото Старинные
Фото Семейных Пар Трансов
Подписи К Фото Со Свадьбы Брата
Кристен Стюарт И Ее Девушка Фото
Страсть Картинки Черно Белые
Хорошая Девчонка Фото
Фото Мужчин На Работе
Цветные Картинки Зомби
Картинки Для Девочек Париж
Бабушка И Внучек Под Фото
Осенний Лист Липы Фото
Картинка Игры Кто Хочет Стать Миллионером
Привет Доброе Утро Картинки Интересные Бесплатно Скачать
Немецкая Форма 2 Мировой Фото
Делать Фотографии На Компьютере
Скачать Картинки Березовый Лес
Икона Успение Пресвятой Богородицы Фото
Фотография 9 На 12 Мп3
Огурцы Сорт Изумрудный Поток Отзывы Фото
Японочки Секси Фото
Актер Игорь Томилин Личная Жизнь Фото
Давай Интим Фото
Фото На Аву Для Пацанов Крутые 18
Фото Образец Удостоверения Тракториста
Картинки Бабуле С Рождением Внучки
Картинки Природы С Добрым
Легкая Атлетика Женщины Фото
Гортензия Метельчатая Саженец Фото
Картинка Черной Линии
Фото Лабрадора Коричневого Цвета
Татуировки Птиц Картинки
Дом Зингера В Санкт Петербурге Фото
Все Актеры Гарри Поттера Сейчас Фото
20 Раками Фото
Коробочка Под Фотографии
Порно Фото Лижет
Как Делать Планку Правильно Фото
Желейный Без Выпечки Фото
Фото Голые Девушки Видно Пизду
Скачать Картинки На Телефон Крутые Популярные Бесплатно
Наложить Картинку На Фон Онлайн Бесплатно
Гринфилд Поселок Фото
Домашнее Шоколадное Печенье Фото
Приготовление Чебуреков Пошаговый Рецепт С Фото
Фото Русой Девушки В Зеркале
Фото Ню Зрелые Пары
Картинка Фон Для Дня Учителя
Ландшафтный Дизайн 12 Соток Фото
Эротическое Фото Без Смс И Регистрации
Освещение В Длинном Коридоре Фото
Как Приклеить Сахарную Картинку На Мастику Водой
Фотографии Натальи Поклонской
Фотографии Эммы М
Как Растет Барбарис Фото
Грибы В Болгарии Фото С Названиями
Фото Серпухов Во Время Войны
Дизайн Кухни Без Гарнитура Фото
Памела Александра Горячие Фото Максим
Лансер 10 На 17 Дисках Фото
Грибы В Беларуси Фото
Орловская Порода Кур Описание Фото
Доброй Ночи Новые Картинки Красивые
Инвалидка Машина Фото
Как Правильно Поставить Дом Фото
Фото Промежностей В Трусиках
Огонь Картинки Для Детей На Прозрачном
Чебуреки Рецепт С Кипятком Фото Пошагово
Валуева Алена Фото
Маникюр Пастельные Тона С Рисунком Фото
Коллекция Старых Фотографий Сумчан
Алтайский Край П Тальменка Фото
Леса Юдыг Ва В Картинках
Малоберцовая Кость Фото





































c:crop/05/99105-120-6738BAE9/view-bones-leg-tibia-fibula.jpg">















































