МРТ полового члена
НемедицинаFigure 1.

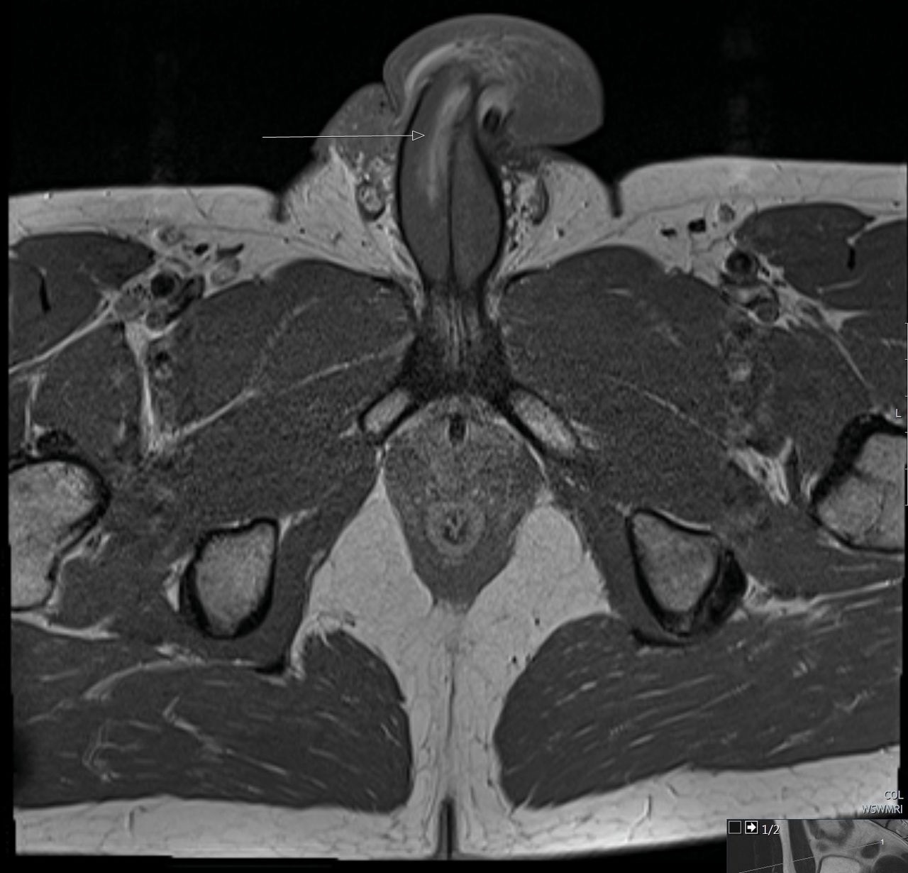
Figure 2.
Демонстрация гематомы, которая примыкает к дистальному концу правому кавернозному корпусу.

Figure 1.

Figure 2.
Демонстрация гематомы, которая примыкает к дистальному концу правому кавернозному корпусу.
