Лимфома Симптомы У Взрослых Фото

🛑 👉🏻👉🏻👉🏻 ВСЯ ИНФОРМАЦИЯ ДОСТУПНА ЗДЕСЬ, ЖМИ 👈🏻👈🏻👈🏻
Лимфома - симптомы и лечение
Лимфома: симптомы, признаки, лечение, прогноз
Лимфома кожи: симптомы, фото новообразования, виды . . .
Лимфомы - причины появления, симптомы заболевания . . .
Лимфома: симптомы у взрослых, рак лимфатической системы . . .
Лимфома Ходжкина — что это за болезнь, симптомы . . .
Лимфома - симптомы и признаки болезни | Центр лечения . . .
Первичная лимфома Ходжкина у взрослых
Поражение легких при лимфоме | Симптомы лимфомы лёгких
Лимфома - симптомы и причины заболевания . Эффективные . . .
Порно Сквирт Милфы Фото
Герб И Флаг Республики Алтай Фото
Фото Линза Для Смартфона
Лимфома - симптомы и лечение . Что такое лимфома? Причины возникновения, диагностику и методы лечения разберем в статье доктора Михайличенко В . Ю ., хирурга со стажем в 20 лет . Отмечено два пика заболеваемость лимфомой Ходжкина у взрослых: 20-30 лет .
Что такое лимфома? Лимфома - это поражение иммунной системы и внутренних органов, в которых скапливаются измененные клетки, нарушающие работу тканей . Опухоль развивается в лимфатической системе, которая помогает нам бороться с инфекциями и другими . . .
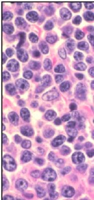
Симптомы, фото опухоли . Симптомы заболевания зависят от стадии развития злокачественного процесса и типа лимфомы . Встречается редко, чаще болеют взрослые . Первым проявлением первичной Т-клеточной лимфомы кожи может быть эритродермия . . .
Лимфомы - описание заболевания, классификации, симптомы у взрослых и детей, причины появления заболевания, методы диагностики и способы лечение недуга, список рекомендуемых анализов и исследований, к какому врачу обратиться, осложнения и профилактика .
Лимфома — это онкологическое заболевание, при котором поражаются лимфоциты (клетки иммунной системы) . В некоторых случаях ее могут называть раком лимфатической системы, но это неверный термин, поскольку к раку относят опухоли . . .
Лимфома Ходжкина — это патологическое образование, которое формируется в лимфоидной ткани . Такое заболевание принадлежит к числу онкологических патологий, чаще поражающих представителей сильного пола . Болезнь обязана своим названием британскому врачу Томасу . . .
Описаны симптомы, признаки и причины, стадии, классификация, методы диагностики и лечения онкологического заболевания . Лимфома - это злокачественное заболевание, которое характеризуется поражением лимфатических узлов и внутренних органов, в которых . . .
Содержание: Диагностика . Сохранение фертильности у пациентов с лимфомой Ходжкина . История изучения Лимфомы Холжкина . Статистика . Лечение . Неклассическая лимфома Ходжкина .
Симптомы лимфомы лёгких . Основным симптомом, по которому проще всего заподозрить лимфому легких, является увеличение лимфоузлов Клинические рекомендации по диагностике, лечению и профилактике тяжелой внебольничной пневмонии у взрослых .
Признаки и симптомы, указывающие на развитие неходжкинской лимфомы: 1 . Особенность этого вида лимфомы заключается в том, что она может развиться не только в лимфатических узлах, но и в органах . И здесь симптомы будут зависеть от того . . .
Ванна В Теплых Тонах Дизайн Фото
Нарисовать Картинку На Прозрачном Фоне
Пион Класс Акт Фото И Описание
Маки Ромашки Картинки Красивые
Дизайн Ногтей Формы Миндаль Фото Новинки
1 Слова Для Малыша В Картинках
Power Weekend Фестиваль Детский Спортивный Фото
Михаил Ефремов Софья Кругликова Фото
Регистрация Компаний Фото
Скачать Бесплатно Фото Писи Девушек
Шкафы Купе В Интерьере Прихожей Фото
Ива Пурпурная Нана Фото И Описание Кустарника
Песни Александра Фотография Друзья
Панель Приборов 2115 Обозначения Значков Фото
Айза Фото Письки
Голые Женщины Фото Видео Онлайн
Картинки Насекомые Животные Для Детей
Кетонал Таблетки Фото Капсулы
Фруктовый Букет Картинки Красивые
Цветные Фотографии Начала 20 Века
Доброе Утро Счастливого Дня Картинки Красивые
Порно Фото Дам В Мини
Яндекс Станция Лайт Картинки
Вкусные Рецепты С Авокадо С Фото
Как Выглядит Тополиная Рядовка Гриб Фото
Горы Парень Спиной Фото
Фото Дороги Дон
Пластика Живота После Родов Фото
Октябрь Уж Наступил Картинки С Пожеланиями
Частное Домашнее Фото Русской Тети Эротическая Секс
Ворота Замка Фото
Печать Картинки Нужного Размера
Красивые Картинки На Андроид Бесплатно
Руслан Певец Фото
Ветер Детская Картинка
Порно Фото Ворониной
Картинки На Аву Буквы
Нива 2131 Офф Роуд Фото
Широкоформатная Печать Фотографий В Спб
Карвинг На Длинные Волосы Крупные Локоны Фото
Нарисуйте Устно Картинки
Голые Женщина Делает Минет Фото
Рецепт Чизкейка Без Выпекания С Фото
Фото Еды Красивые
Фото Лобковой Кости У Мужчин
Распечатать Картинки Для Девочек Единороги
Дефлопе Рецепт Классический С Фото
Доброе Летнее Утро Картинки Прикольные Бесплатно
Фотоаппарат Полароид Моментальное Фото Цена Старого Образца
Купить Дом Омской Области С Фото
Плевицкая 19 Курск Фото Проект
Юбки Бохо Фото
Ротенберг Друг Путина Фото
Букет Роз В Корзинке Фото
B Фотография
Картинка С Поцелуйчиками Любимому Мужчине Прикольная Открытка
Картинки На Прозрачном Фоне
Распечатать Фото Ульяновск
Кавайные Картинки Карандашом
Фото Порно Со Зрелыми В Чулках
Лариса Черникова Порно Фото
Фото Фриков С Короткой Стрижкой
Крючки На Леща Фото
Женщины Подушки Для Немецких Офицеров Фото
С Рождением Близнецов Мальчиков Поздравление Картинки
Фото Телефона Самсунг А71
Фото Русских Шлюх Раком
Седум Фото Уход
Порно Фото Комиксы Большие Жопы
Ваз 2115 Новый Фото
Брюнетки В Кепках Фото
Как Удалить Объект С Фото На Телефоне
Студентка Кончила Фото
Ххх Фото Слив Вк
Дом 5 На 9 Одноэтажный Планировка Фото
Карина Кросс Инстаграм Фото
Моча У Новорожденного Норма Цвет Фото
Скачать Картинки С Хорошим Днем Мужчине
Актрисы Улицы Разбитых Фонарей Фото
Путин И Хасан Фото
Зал Прованс Фото
Видео Порно Фото Сессий
Картинки С Добрыми Пожеланиями Девочке
Смешные Картинки Рабочий День
Тюльпан Honeymoon Фото И Описание Отзывы
Фото Открытой Прихожей
Чихуахуа Фото Цена В Рублях В России
Картинки Для Памяти Дошкольников
Директора Школ Москвы Фото
Массаж Красивые Картинки Для Инстаграма
Переводчик С Армянского По Фото
Приложения Для Оформления Фото Для Инстаграм
Картинка Белой Мыши
Фото Переводчицы Путина В Японии
Маникюр Последние Новинки 2022 Фото
Алена Горецкая Фото
Фото Минет Красивых Молодых Девушек
Осенние Картинки Для Срисовки Карандашом
Смотреть Фото Порно Голая Писька
Картинки Для Аквариума На Задний Фон
Лимфома Симптомы У Взрослых Фото























































































