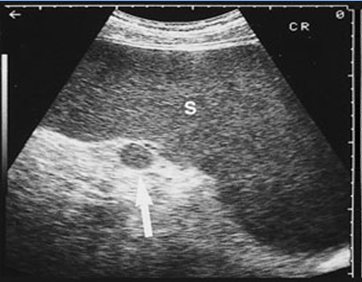
Лимфома На Узи Фото
Алексей Вишня Википедия Фото
Язык Веера Картинки Со Значением
Утренние Фото С Добрым Утром
Альбатрос Дана Бич Фото
Нежный Френч С Дизайном Фото
Как Сделать Видео Из Фотографий
Отдых После Работы Картинки
Фото Театральной Улицы
Закуска Павлиний Хвост Рецепт С Фото
Вагончики Бытовки Для Дачи Фото
Бор Нижегородская Область Фото
Милла Йовович С Детьми 2025 Фото
Образцы Маникюра Шеллак Фото На Короткие Ногти
Лимфома На Узи Фото 109 фотографий







































































































