Лидокаин После Удаления Зуба

🛑 👉🏻👉🏻👉🏻 ВСЯ ИНФОРМАЦИЯ ДОСТУПНА ЗДЕСЬ, ЖМИ 👈🏻👈🏻👈🏻
Лидокаин при удалении зуба - ПрофиМед - эстетическая . . .
Лидокаин уколы после удаления зуба
Лидокаин при удалении зуба
Лидокаин при удалении зуба - Все про зубы
Лидокаин при удалении зуба - Вип Стоматолог
Лидокаин от зуба помогает
Лидокаин в стоматологии - Журнал стоматолога
Лидокаин при удалении зуба — Зубы
Ультракаин или лидокаин что лучше при удалении зуба
Лидокаин при удалении зуба
20 Мг Мл Сколько Процентов Лидокаина
Лидамитол Для Чего Назначают
Лидокаин Для Раствора Цефтриаксона
После инъекции отключается чувствительность, и зуб может быть удален безболезненно . В стоматологии обычно применяют лидокаин и анестетики на основе артикаина . Какое обезболивающее лучше использовать при удалении зуба, решает врач, выбор зависит от объема и предполагаемой длительности вмешательства, а также от метода проведения анестезии .
Лидокаин при удалении зуба Выбор обезболивающего при удалении зуба Операция удаления зуба - это травма для слизистой оболочки и кости . Чтобы устранить
Лидокаин при удалении зуба Обезболивающее при удалении зуба В современной стоматологии применяются различные препараты, которые позволяют сделать любые
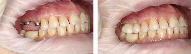
Лидокаин при удалении зуба Удаление зубов - отзыв Удаление зуба мудрости с лидокаином, лечение «по блату» и вытекающие последствия . Предыстроия . Как то встретились мы с . . .
Лидокаин при удалении . . . удаления нерва или зуба, установление коронок, ортодонтические процедуры . Для этих случаев предусмотрены различные методы обезболивания . . . .
Лидокаин используется для местного обезболивания в сфере, в частности при проведении лечения и удаления зубов . Также он может применяться для удаления абсцесса с образованием гноя .
гидрохлорид лидокаина - 20 г . Хлорид натрия - 6 мг . Вода для инъекции - остальное количество . Для проведения анестезии в стоматологии используется доза в 4-5 мл (это в случае, если адреналин не добавляется) . Продолжительность его действия 60-90 минут . Время анестезии зависит от скорости кровотока в организме и от места анестезии .
Лидокаин при удалении зуба . Лидокаин относится к анестетикам iv поколения . Впервые был использован в качестве обезболивающего средства в стоматологии в 1944 году .
Нимесил сколько дней пить после удаления зуба мудрости Во время проведения операции по удалению (экстракц . 14 .01 .2020 . Можно ли удалить кисту зуба без удаления зуба
Лидокаин при удалении зуба Анестезия при удалении зубов . Очень многие откладывают визит к стоматологу по поводу удаления зуба, так как панически боятся болевых ощущений .
Цистон Цена В Астрахани Аптека Апрель
Эльжина При Лактации
Периндоприл Пульс
Руководство Нак Азот
Диабетон Сайт Самара
Нимесил Цена В Днр
Алиса Кортексин
Регидрон Инструкция По Применению Взрослым При Рвоте
Гемодез В Аптеках Москвы
Нурофен Производитель Россия
Ветом Применение Отзывы
Ингалипт Помогает Ли
Транексам Инструкция По Применению Таблетки
Эхинацея Консумед
Ингавирин Форма
Ксарелто 10 Мг Цена Ярославль
Глюкозамин Хондроитин Нов
Аллергия На Компливит
Панкреатин 90 Мг Сколько В Единицах Взрослым
Ренгалин Сироп От Чего Помогает
Феназепам Применение У Пожилых Людей
Анализ На Гепатромбин
Цена Лекарства Коронавир В Аптеках
Бронхипрет Аналоги Для Детей
Тералиджен Отпуск Из Аптек
Таблетки Лориста 25 Мг
Финастерид Форма Выпуска
Валвир Ру
Совместимость Цитрамона
Тафен Назаль Сколько Применять
Секнидокс Применению
Фурадонин Цена Живика
Протионамид Инструкция По Применению Цена
Ципролет Саратов
Липоевая Кислота При Остеохондрозе Отзывы
Фолиевая Кислота 500 Мкг При Беременности
Лазолван Сироп Цена Уфа
Камелия Мед Казань Ташаяк
Фтизопирам Инструкция По Применению Цена Побочные Действия
Эвалар Официальный Сайт Продукция Интернет
Лечение Иммардом
Селмевит Детский
Церебролизин Цена Уколы 5 Мл В Максавите
Фарматекс Свечи Аналоги Дешевле
Клеродендрум Ортосифон
Мометазон Для Носа Отзывы
Длительное Применение Варфарина
Клексан 0.4 Цена 10
Принимать Вместе Рибоксин И Мексидол Можно
Инсулин Ринлиз Микс 25 Цена
Галлюцинации После Дексаметазона
Фарингосепт При Ларингите Отзывы
Коэнзим Q10 В Чем Содержится
Биогая При Лактозной Недостаточности
Синекод Микстура Цена
Парацетамол Жаропонижающее Сироп
Ренитек 10 Мг Цена Инструкция
Аналоги Пантогама В Таблетках Взрослым
Неовир Отзывы
Ципрамил Инструкция Цена
Синекод 50мг Таблетки
Клиндовит Цена В Беларуси
Флуоксетин Отзывы Пациентов Принимавших Препарат Для Похудения
Мексидол Цена В Беларуси
Метионин 0 25 N50 Табл Фармстандарт
Димексид При Артрите
Разо И Глюкофаж Совместимость
Чем Можно Запивать Сорбифер Дурулес
Лориста Таблетки Купитб В Мозыре
Контрактубекс Отзывы От Рубцов После Операции
Полиоксидоний Ампулы 12
Тержинан Во Время Грудного Вскармливания
Ксарелто При Ковид 19
Сколько Стоит Генитрон
Фильтрум 400мг Инструкция
Магний Плюс Кальций Доппельгерц Отзывы
Лапчатка Кустарниковая Мэрион Ред
Почему Пропал Оземпик Из Продажи
Ноотропы При Низком Давлении Какие
Солантра Зуд
Левомицетин При Пневмонии
Пантокрин Отзывы Цена
Дексаметазон Таблетки Гормоны
Кеторол Диспергируемые В Полости Рта
Коэнзим Траумель
Сколько Стоит Спазмалгон Таблетки Цена В Москве
Укол Супрастина От Аллергии
Простамол Уно Какое Лекарство
Элевит И Йодомарин Одновременно
Отипакс Здоров Ру
Мигрениум Отзывы От Мигрени
Эхинацея Пурпурная Применение
Эвалар Щитовидная Железа
Полисорб Детям До Года При Аллергии
Магнелис В6 120
Паста Для Почек Фитолизин Отзывы
Эриус Таблетки Отзывы Врачей
Ибупрофен Для Детей От Зубной Боли
Ксарелто 20 Отзывы Людей
Насыщенный Раствор Хлористого Кальция
Лидокаин После Удаления Зуба
























.png)















-lidokain-10-aerozol-38-g-32.jpeg)









































.jpg)













