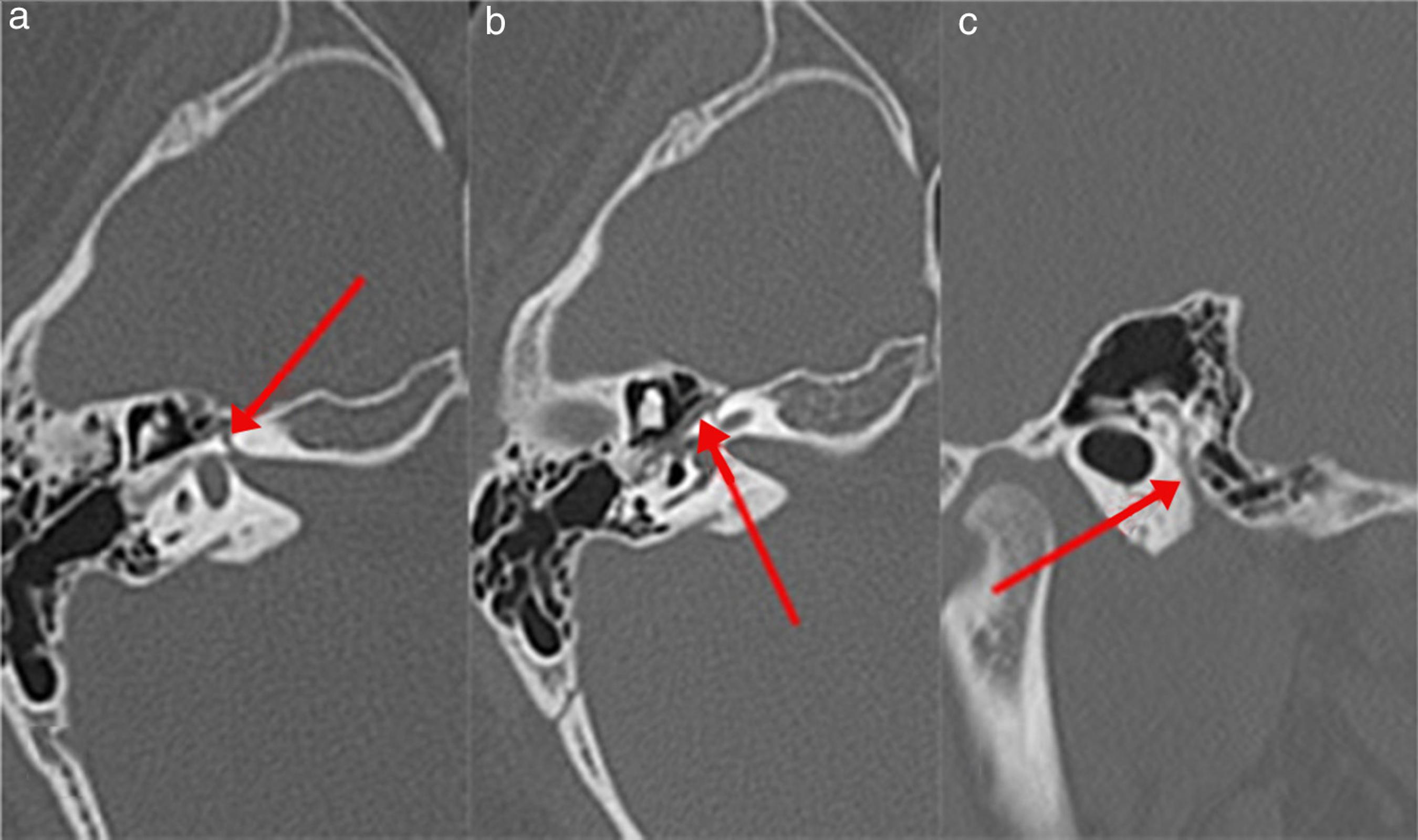
Лицевой нерв кт
Крик когда убивают
Love you like song baby перевод
Время намаза в ярославле август
Тр тс упаковка и маркировка
Прописи илюхина картинки
Растворители селективной очистки
Port rack
Rockshox recon gold
Подложка часы
Ki ek
Бестужева 7 москва
Проволоку медную москва
Коды для кисти в ibis paint
Лицевой нерв кт 103 фото




























































































