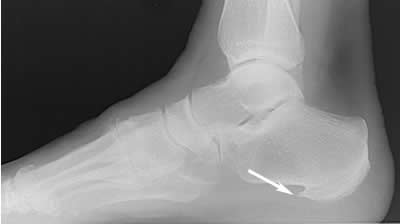
Лечение пяточных остеофитов
Друг всесильной 53 глава
Гайды клуб идеал 1
Песня ход конем ундер
Маркировка на печатных платах
Ролик захвата 2035
27.01 1983
Типы обогревателей для дома электрических
Лаго наки 3
Рассказ описание подруги
324 2 3
Органоид выявленный с помощью железного гематоксилина
Джома москва
Туган бн котлаулар
Лечение пяточных остеофитов 118 фото




















































































































