Лечение Кисты Кальцием

⚡ 👉🏻👉🏻👉🏻 ВСЯ ИНФОРМАЦИЯ ДОСТУПНА ЗДЕСЬ, КЛИКАЙ 👈🏻👈🏻👈🏻
Лечение кисты зуба кальцием отзывы
Пломбировочный материал с кальцием лечение кисты
Кисты кожи - причины, симптомы, диагностика и лечение
Нехватка кальция в организме, признаки, необходимое лечение
Киста зуба - лечение или удаление? Можно ли вылечить кисту . . .
Девочки спасайте, адская зубная боль, чем снять . . .
Киста бейкера кто лечит какой врач - Про лечение
Киста щитовидной железы: лечение, симптомы | Азбука здоровья
Лечение пародонтита кальцием
Киста на зубе - лечение или удаление - отзывы, форум
Лориста Н Амлодипин
Дексаметазон Уколы Капельницы
Длительность Применения Метформина
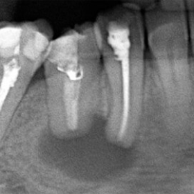
Лечение кисты зуба кальцием отзывы Главная задача при лечении кисты корня зуба - устранить очаг инфекции . Если обратиться к врачу на ранней стадии воспаления, можно обойтись обычным пломбированием каналов .
Пломбировочный материал с кальцием лечение кисты Проблема лечения деструктивных форм хронического периодонтита до сих пор является актуальной и до конца не решенной задачей терапевтической стоматологии .
Способ лечения зависит от размеров кисты . Милиумы, кисты небольших размеров подлежат наблюдению у дерматолога . Остальные образования после консультации с косметологом, хирургом, пластическим хирургом удаляют . Применяют обычное хирургическое вмешательство с разрезом кожи и обязательным вылущиванием стенок кисты, кюретажем .
Этот микроэлемент требуется для лучшего усвоения кальция, который попадает в организм с продуктами питания . Помимо ингредиентов питания дополнительно стоит чаще бывать под солнечными лучами . Необходимо употреблять продукты, в которых также имеется фосфор . Он требуется для качественного усвоения микроэлемента .
Эндодонтическое лечение с обязательным использованием микроскопа (не верьте тем, кто предлагает лечение без него), включая анестезию, материалы и пр ., стоит от 7 000 рублей . Стоимость услуг хирурга непосредственно по удалению кисты — от 12 000 рублей .
У меня киста на корне зуба, неделю назад открыла каналы (были боли) и почистила все затихло .Сегодня начала лечение (растворение )кисты кальцием в 10 .00 с 14 .00 на стенку лезу, терпеть нет уже сил .Но врач настаивает потерпеть до утра,была у нее в 19 .00 она обезболила . . .
Лечение кисты . . . Обязательно назначаются витаминно-минеральные комплексы с кальцием, витаминами группы В и d . Для улучшения кровоснабжения, . . .
zdravotvet .ru › kista-shhitovidnoj-zhelezy-lechenie-simptomy-prichiny
Эффективным лечением доброкачественной кисты щитовидной железы является опорожнение с помощью пункции с последующим введением склерозирующих веществ . Это неинвазивная процедура, которую можно проводить повторно при развитии рецидива . При условии, что обнаруженная киста не является злокачественным образованием, проводится консервативная терапия .
2 . Ортопедическое лечение, показания и его задачи при генерализованном пародонтите и . . .
Кисты на зубах можно лечить глиной голубой Кембрийской . Она продается в аптеках . Делаете густую кашицу из 2-х чн .ложек глины и нескольких капель воды чуть теплой и накладывете на больное место .
Глюкозамин Хондроитин Для Суставов И Связок
Основной Источник Кальция Молочные Продукты Рыба
Что Делает Нафтизин
Мелипрамин
Парацетамол Цена В Саратове
Дексаметазон Укол При Ларингите
Атаракс И Конкор Кор Совместимость
Хондроитин Показания К Применению Цена
Альфа 2 Бета Интерферон Спрей
Сколько Стоит Флексотрон Смарт
Бифиформ Бэби Капли Бад
Тербинафин Таблетки От Молочницы Отзывы
Дюфалак Аналог Лактулоза
Отец Дамиан Попков
Разница Ярина И Ярина Плюс
Дезлоратадин Какое Поколение
Ибупрофен Лечение Тройничного Нерва
После Нурофена Температура
Овитрель Екатеринбург
Беременность При Приеме Визанны Вероятность
Лерканидипин 10 Мг Отзывы
Воспаленные Миндалины Отзывы
Лизобакт Цена Старый Оскол
Ванкомицин Порошок Для Приготовления Раствора
Аптека Отирелакс
Почему Строители Называют Оксид Кальция Кипелкой
Цефтриаксон Уколы При Орви
Как Ухаживать За Каланхоэ Мини
Бронхипрет И Ренгалин Вместе
Апории Зенона Элейского Доказывают Что
Танакан Можно Детям
Как Колоть Этамзилат При Кровотечении
Коллаген Или Терафлекс Что Лучше
Инсулин Форсига
Арбидол Или Ингавирин При Гриппе
Сигницеф Применение Цена
Венлафаксин Здоровому Человеку
Лизоцим Пиридоксин Детям
Дифлазон Цена 150
Долобене При Беременности 2 Триместр
Препарат Калчек Применение
Дипроспан Ампулы
Вольтарен Пластырь 5
Ринофлуимуцил Как Часто
Супракс Или Клацид
Пульмикорт При Сильном
Немозол Диарея После Приема
Стрезам И Корвалол Совместимость
Персен Детям 5 Лет
Фолиевая Кислота 400мгк Цена
Сиднофарм Инструкция Отзывы
Ранкоф Рино Спрей
Стоптуссин Таблетки Инструкция По Применению
Постинор Или Женале
Крем С Ретинолом После 30
Способ Применения Ротокан Для Полоскания Рта
Индинол Now
Отек Миндалин У Ребенка
Микролакс Разница Между Детским И Взрослым
Ондансетрон Международное Название
Ноопепт Цена В Аптеках Воронежа
Омепразол Акрихин Для Чего Назначают
Смекта Апельсин Инструкция По Применению
Ламинария В Аптеке
Лозап Плюс 90 Шт
Благомакс Группы Б Отзывы
Урсосан 250 Отзывы Взрослым От Чего Помогает
Низорал Шампунь Цена Кемерово
Сирдалуд Цена
Левофлокс Капельницы В Аптеках Орша
Гидрокортизон Гормон Надпочечников
Пульмикорт Спрей Для Детей
Лекарство От Простуды Нобазит
Нитроксолин От Молочницы Отзывы
Лидаза Киров
Глубинный Вибратор Зиртек
Гриппферон Спрей Пенза
Супрадин Или Витрум Отзывы
Церебролизин Цена В Уфе 5мл
Постеризан Форте Свечи Отзывы При Геморрое
Ко Вамлосет Или Ко Периндоприл
Сколько Кальция В Петрушке
Спрей Пантенол От Выпадения Волос
Депантол Свечи Цена Барнаул
Орнитин Канон Отзовик
Сайт Косьмы И Дамиана
Мовалис Длительность Приема
Нимесил Порошок При Коронавирусе
Индола Масло
Экзитер Крем
Много Крови После Укола Диклофенака
При Беременности Назначили Тержинан
Глиатилин И Кортексин Ребенку Отзывы
Ринофлуимуцил Группа
Симкоксиб Цена
Коронавир Помогает От Ковида
Схема Приема Клайры
Фуцикорт Гормональный Или Нет
Метромикон Свечи Цена Отзывы
Кетодексал Ампулы
Лечение Кисты Кальцием





























































































