Купить Стоматофит в Кинешме

💣 👉🏻👉🏻👉🏻 ИНФОРМАЦИЯ ДОСТУПНА ЗДЕСЬ! КЛИКАЙ 👈🏻👈🏻👈🏻
Стоматофит раствор для полости рта, 100 мл: инструкция . . .
Стоматофит® - официальный сайт препарата
Стоматофит - цена, наличие в 1969 аптеках Украины | Liki24
Стоматофит - купить, цена и отзывы, Стоматофит инструкция . . .
СТОМАТОФИТ цена и наличие в аптеках, где купить Стоматофит . . .
Купить квартиру в Кинешме - 112 объявлений по продаже . . .
Стенки для гостиных в Кинешме . Купить Недорого у . . .
Продажа животных в Кинешме - Avito
Купить готовые конструкции, срубы б/у и новые в Кинешме . . .
Купить мебель для кухни б/у и новую в Кинешме — объявления . . .
Купить Нормосанг в Дмитрове
Купить Дорзопт в Камень-на-Оби
Купить Кутис композитум в Канске
Стоматофит раствор для полости рта, 100 мл купить по низкой цене в Киеве, Харькове, Одессе и в Украине Доставка лекарств домой ️ Наличие в аптеках Украины . 🧐 Вы сможете забрать Стоматофит раствор для полости рта, 100 мл . . .
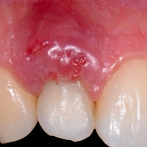
Стоматофит ® . в действии . Комплексное действие при воспалительных заболеваниях полости рта . Динамика индекса РМА* . Лечение: Стоматофит ® в течение 10 дней . Контрольные обследования: через 3, 5 . . .
Почему купить Стоматофит с Liki24 .com выгодно и удобно . Liki24 .com проверит цены на Стоматофит в 5 000+ аптеках Украины . Поможет забронировать его в удобной аптеке, еще и со скидкой .
Купить Стоматофит в интернет-аптеке в Москве, низкие цены и официальная инструкция по применению, честные отзывы покупателей и фармацевтов о Стоматофит .
Где купить Стоматофит - цены, адреса и телефоны аптек, информация о наличии и сравнение цен на Стоматофит в аптеках Украины
Более 112 объявлений по продаже квартир по цене от 400 000 ₽ . Карты цен, инфраструктуры, транспортной доступности и качества воздуха в Кинешме помогут выбрать и купить квартиру на Яндекс .Недвижимости .
Tiu .ru — товары и услуги в Кинешме . Потребительские, промышленные и оптовые товары - все для вашего бизнеса, быта и отдыха!
82 объявления о продаже животных по доступным ценам в Кинешме . На Авито вы можете недорого . . .
Куплю / Продам в Нижнем Новгороде → Строительство и ремонт в Нижнем Новгороде → Готовые конструкции, срубы в Нижнем Новгороде . Продам: велопарковка в Кинешме . Цена 3 500 Р . 46 .05 $ € 38 .89 . . .
Продам: кухни на заказ в Кинешме . Цена 12 000 Р . 157 .89 $ € 133 .33 . Компания Мебель-Трио - проектирует и изготавливает кухни и шкафы-купе, корпусную и встраиваемую мебель на заказ по вашим размерам . . .
Купить Клиндамицин в Красноярске
Купить Виво в Ревде
Купить Афала в Ростове
Купить Флуимуцил в Мценске
Купить Фриостерин в Каменке
Купить Панцеф в Пущино
Купить Лаверон в Звенигороде
Купить Эуфиллин метро Саларьево
Купить Наятокс в Костерёво
Купить Травапресс в Алейске
Купить Комфодерм в Чухломе
Купить Йосен в Лянторе
Купить Цидокан в Электрогорске
Купить Глаупрост метро ВДНХ
Купить Голдлайн в Аркадаке
Купить Занидип в Вуктыле
Купить Престилол метро Фрунзенская
Купить Карсил в Ирбите
Купить Ондавелл в Кыштыме
Купить Рилептид в Спасске
Купить Рабиет в Мещовске
Купить Венолайф в Оханске
Купить Радевит актив в Прокопьевске
Купить Элигард метро Бульвар Рокоссовского
Купить Церукал метро Борисово
Купить Лимонтар в Нижнем Новгороде
Купить Рабепразол в Гудермесе
Купить Трипсин кристаллический метро Саларьево
Купить Долак метро Славянский бульвар
Купить Заведос в Копейске
Купить Витастарс в Ярославле
Купить Виатайл в Чехове
Купить Репата метро Международная
Купить Сигдуо лонг в Мариинске
Купить Тафинлар в Гусиноозёрске
Купить Левофлоксацин метро Баррикадная
Купить Синджарди метро Новокосино
Купить Спермаплант метро Ленинский проспект
Купить Валосердин метро Речной вокзал
Купить Гистафен в Мончегорске
Купить Гепабене метро Тушинская
Купить Коргликард в Калач-на-Дону
Купить Фенкарол в Верхотурье
Купить Суперлимф в Кукморе
Купить Трилептал в Магнитогорске
Купить Самеликс в Элисте
Купить Эслидин в Комсомольске
Купить Неовир в Курлово
Купить Сбор грудной N2 в Южно-Сухокумске
Купить Волюлайт в Йошкар-Оле
Купить Примовист в Бугуруслане
Купить Цернилтон в Гусь-Хрустальном
Купить Цитиколин метро Серпуховская
Купить Магневист в Нурлате
Купить Медопред метро Нахимовский Проспект
Купить Дормиплант в Чернушке
Ампициллин Цена Таблетки 500 Мг Цена
Купить Бифидумбактерин в Улан-Удэ
Купить Элеутерококк П в Пыталово
Купить Митеравел в Уссурийске
Купить Тизалуд в Ладушкине
Купить Октретекс в Камень-на-Оби
Купить Супракс метро Щукинская
Алмагель Срок Годности
Купить Ринза в Гдове
Акридерм Мазь Цена Томск
Купить Прамипексол в Новой Ладоге
Купить Бикалутамид в Коврове
Купить Железа гидроксид в Сафоново
Купить Теванат в Горнозаводске
Купить Никсар в Елизове
Купить Солантра в Баксане
Купить Доксициклин в Кинели
Купить Левофлоксацин метро Новослободская
Купить Нитроглицерин в Сусумане
Купить Гастал в Гаврилове Посаде
Купить Велсон в Липецке
Купить Солянка холмовая в Дедовске
Купить Этилметилгидроксипиридин в Кудымкаре
Купить БлоккоС в Алатыре
Купить Индигокармин в Володарске
Купить Возулим в Фролово
Купить Энерион в Болотном
Купить Эдас в Сальске
Купить Микрогинон в Елизове
Купить Бисопролол в Пыть-Ях
Купить Гонал-Ф в Ясногорске
Купить Вальпарин в Кировске
Купить Иммунорм в Новомичуринске
Купить Нооцил в Красноуральске
Купить Цисатракурия в Ясногорске
Купить Нейропол в Вилючинске
Купить Простасабаль в Звереве
Купить Мидантан в Выборге
Купить Доктор мом в Ачинске
Купить МексиВ 6 в Сарове
Купить Пектусин в Калтане
Купить Пеметрексед в Верещагино
Купить Цифран в Димитровграде
Купить Офтальмоксипин в Люберцах
Купить Стоматофит в Кинешме





































.jpg)










.jpg)

.jpg)









%20.png?v%5Cu003d1638428361)
































