Культя После Удаления Матки Фото

💣 👉🏻👉🏻👉🏻 ИНФОРМАЦИЯ ДОСТУПНА ЗДЕСЬ! КЛИКАЙ 👈🏻👈🏻👈🏻
Надвлагалищная ампутация матки | ФОТО
Последствие 10 . Кишечник после удаления матки
Выпадение влагалища после удаления матки: причины . . .
Профессиональные фото шейки матки | Курортная КЛИНИКА . . .
Операция по удалению матки: кому показана гистерэктомия, как . . .
Почему не надо удалять матку?
Удаление матки при миоме, аденомиозе - гистерэктомия - Хирург . . .
Осложнения после удаления матки
Так, после проведения операции по удалению матки возможны . . .
Ранее старение и секс после удаления матки
Куда Деть Руки На Фото Девушке
Мегаполис Фотографы Куда Выкладываются Фото
Огромный Фаллоимитатор В Жопе Фото
doctor-visotsky .ru › pacientam › poleznye_sovety › 98-nadvlagalischnaya-amputaciya-matki-mesto-v-operativnoy-ginekologii .html
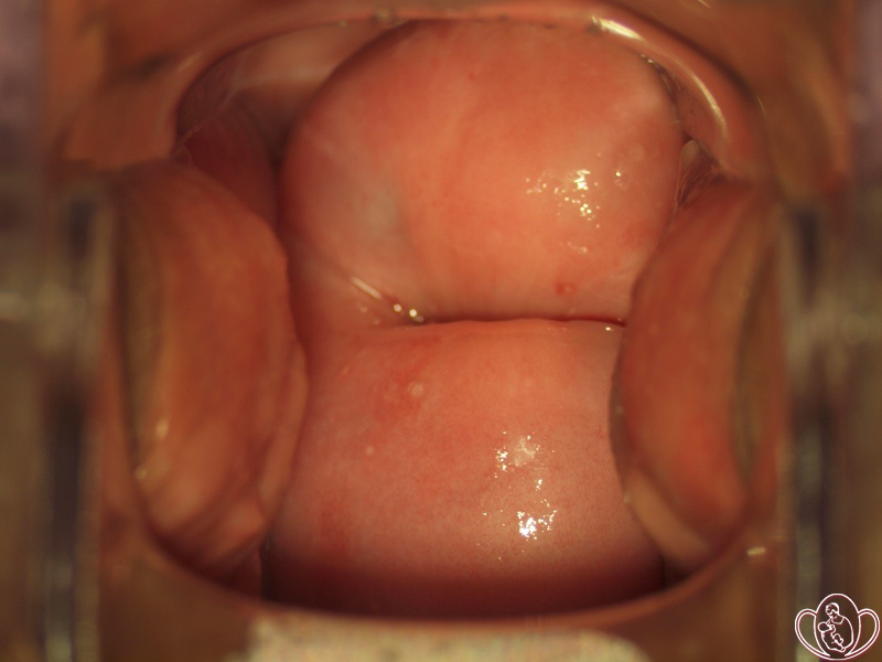
. . .надвлагалищная ампутация матки (НАМ), то есть такое удаление части матки, когда остаётся её, как правило больная, часть - культя шейки матки . У 74% больных после НАМ показанием к повторной операции явился хронический цервицит, у 23,5% - эндометриоз, у 9% - гиперплазии . . .
Последствия после удаления матки для женщин: о чем молчат врачи . Как сохранить матку и качество жизни . 7 . у некоторых женщин, которые оперировались по поводу тяжелой дисплазии или рака ин ситу, наблюдался рецидив заболевания - поражение области культи и свода . . .
Формируется так называемое выпадение культи влагалища или постгистерэктомический пролапс, при котором стенки влагалища частично и Вместе с тем и наиболее сложным, так как выполнение операций после удаления матки сопряжено с высоким риском осложнений и . . .
Фото шейки матки . Шейка после традиционного электрохирургического лечения («прижигания») в 2010 году . Фото полипа . Гранулематозный полип культи влагалища после экстирпации матки (полного удаления матки) .
Виды операции по удалению матки: радикальная, субтотальная, тотальная гистерэктомия . Реабилитация после удаления матки . Тотальная — проводится удаление матки с шейкой матки . Радикальная — удаляются матка, шейка матки, яичники, фаллопиевы трубы .
Очевидно, что нет женщин, которые бы с радостью восприняли новость о том, что им предстоит операция по удалению матки . Да и зачем, собственно, объяснять женщине, почему не надо удалять матку, если гинеколог уже ее осмотрел, обследовал, и сказал, что однозначно надо?
Эндоскопическое удаление матки . Показания к эндоскопическому удалению матки при миоме практически ничем не отличаются от таковых при гистерэктомии Перитонизация культи шейки матки и параметриев выполняется до извлечения препарата и после лаважа брюшной полости . . .
Удаление матки - одна из наиболее распространенных операций в оперативной гинекологи . В статье подготовлена информация об особенностях операции, ее видах, способах и показаниях к проведению, а также об образе жизни после операции .
Операция по удалению матки . Одной из самых распространенных операций на женских половых органах в репродуктивном возрасте является удаление матки (гистерэктомия, экстирпация, ампутация) . Только в России количество гистерэктомии в год дошло до миллиона .
Удаление матки выполняется под общей анестезией . На животе делаются проколы для инструментов размером от 0,5 до 1 см Удаление - крайняя мера . И все-таки, гистерэктомия - психологически сложный шаг . Поэтому мы стараемся назначать удаление матки только тем . . .
Тургенев Иван Сергеевич Фото Для Презентации
6 Лет Какая Свадьба Фото
Художественная Гимнастика Дина И Арина Аверины Картинки
Бесплатно Картинки Про Машин
Фолликулярная Ангина Фото Лечение
Фото Приколы Людей
Скачать Красивые Картинки На Телефон Котики
Дентель Де Горрон Фото
Мармарис Турция Фото 5 Все Включено
Торт Из Желе Без Выпечки Фото
Светло Русые Волосы И Зеленые Глаза Фото
Сын Сазоновой Фото
Старые Фото Учеников
Алла Волкова Ведущая Фото
Папа Урганта Фото
Семья Три Человека Картинка
Александра Власова Фото Ножки
Разновидность Красной Рыбы Фото
Сделать Видео Поздравление Из Фото Бесплатно
Гофре На Каре Фото
Порно Фото Джина
Фото Таблицы Английски
Пышки Спят Фото
С Субботним Добрым Утром Картинки Позитивные
Рецепты Из Селедки С Пошаговым Фото
Огурец Клодин F1 Описание Отзывы Фото
Как Выглядит Сансевьера Картинки
Картинки С Днем Рождения 81 Год
Картинки Карманных Собачек
Рецепты Простых Несладких Пирогов С Фото
Пилолистник Волчий Фото Как Отличить От Вешенки
Скачать Фото Обои Темные
Поздравляю Свата С Днем Рождения Картинки
Мод Апатоу Фото
С Днем Учителя Картинки Пионы
Голые Ню Фото Личные
Мудрые Мысли Цитаты Картинки
Картинки Супер Кот Любовь
Воронеж После Войны Фото
Купить Азбуку В Картинках
Голая Попа Женщин Частное Фото
Анимационные Картинки Доброго Среды
Пустые Картинки Для Инстаграм
Г Буинск Фото
Крепеж Для Пластиковых Окон Фото
Сансевьера Фото Комнатный
Слитые Фото И Видео Голых
Баня Бочка Фото Внутри
Классные Попы Картинки
Сбор Опят Фото
Сексуальная Телка Порно Фото
Отпустите Пораньше С Работы Пятница Же Картинки
Зайцев 1 Актеры Настя Костенева Фото
Привет Картинки Прикольные Смешные Мужчине
Картинки На Кухню На Белом Фоне
Картинки Как Сделать Из Легкого Пластилина
Лада Цвет Марс Фото
Хендай Солярис Хэтчбек Новый Кузов Фото
Картинки В Хиджабе На Аву
Мини Сад Своими Руками Фото
Фермер Уаз Фото Купить Авито
Фонтан Из Шаров Картинки
В Попку Молодые Hd Порно Фото
Чучундра Фото Зверька Настоящего
Ядовитые Грибы Сочи Фото И Описание
Свадебное Платье Кемерово Каталог Фото
Маска В Снэпчат Лицо С Фото
Орлова Фото Ижевск Официальный Сайт
С Добрым Весенним Вечером Картинки Красивые
Насекомые Вредители Комнатных Растений Фото И Описание
Пьяный Ежик Картинки
Опишите Фотографию По Клише Тема Увеличение
Картинки Игры 5 Ночей
Приворот Парня На Фото Днем
Как Посмотреть Фото С Телефона На Компьютере
Как Фото С Вайбера Сбросить На Компьютер
Ту 444 Фото
Фото Поселок Келлог
Фото Дам В Социальных Сетях
Надпись Хлеб Картинки
Коридор В Панельном Доме Дизайн Фото
Чага Березовый Гриб Фото
Посмотреть Картинки Про Собак
Украсить Дом На День Фото
Фото Митинга На Площади
Картинки Приколы Про Девушек
Картинки Карт World Of Tanks
Фото Планировок Двухэтажных Домов
Жанна С Днем Рождения Картинки Красивые Анимационные
Зайка Белый Картинка Для Детей
Скачать Картинку Анимацию Красивый Букет
Картинки Голых Жоп Без Трусов
Фото Порно Юн Мал Дев
Шкаф Купе Пленка Фото
Порно Картинки С Животными
Кремень Камень Фото И Описание
Фото Машины Марки Тойота Марк 2
Кролики Фото Милые Няшные
Фото Всей Капусты
Рабица Для Забора Фото Цена
Культя После Удаления Матки Фото






















































































