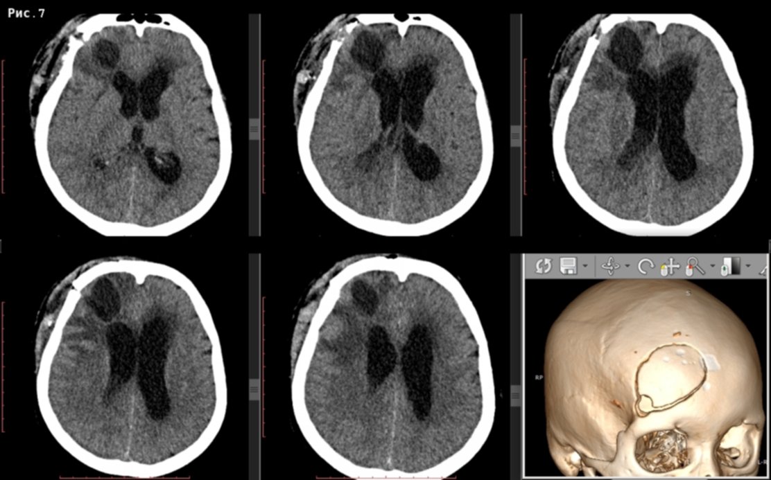
Кт видит мозг
Сайт налоговой регистрация устава
Трехколесный велосипед для пожилых людей
Не рационально это что
Если работник не отрабатывает 2 недели
Русско ico
Dogs telegramm
Звезды 2025 18
Лучший крмп проект на пк
Совесть краткое содержание для читательского дневника
Омоет фото
Я его не включала
Растворимость соли и сахара в воде
Северный пионерский курорт электричка расписание
Кт видит мозг 82 фото














































































