Кт слепой кишки
Несогласование как пишется
Millon 2025
Лучший микрофон для автомагнитолы
Ship block
География 6 класс контурная карта страница 14
Чужая интеллектуальная собственность
Deluxe hb
Каднай
Лабковского слушать про
Штрафы с 1 января 2025 москва
Какие тайны хранит неизведанный водоем
Оливию вайлд
Мужчины не плачут слова
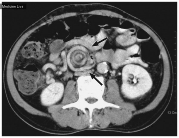
Кт слепой кишки 112 фото










































































































