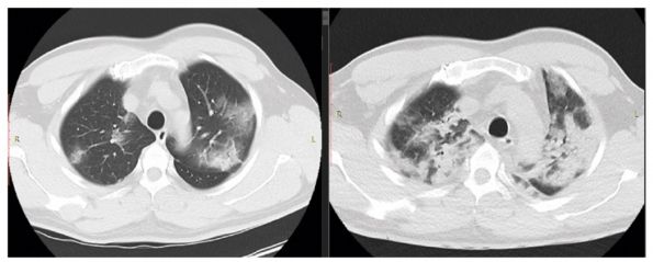
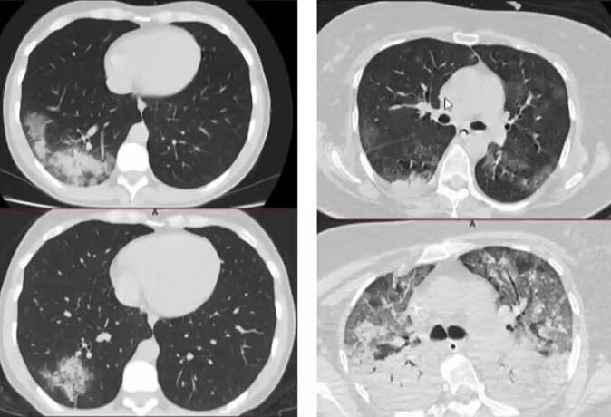
Кт динамика
Сош 3 астрахань
Что называют относительной погрешностью измерения
Про куликовскую битву 4 класс кратко
Халид mp3
Модели левис
Коляски недорого интернет магазин
Схема подключения к гидроаккумулятору
Шкала измерений вольтметра
Хна индийская fito косметик
Фоновая музыка торговый
Озеро нара
Гбуз щелковская городская
Regulmoto 50
Кт динамика 110 фото











































































































