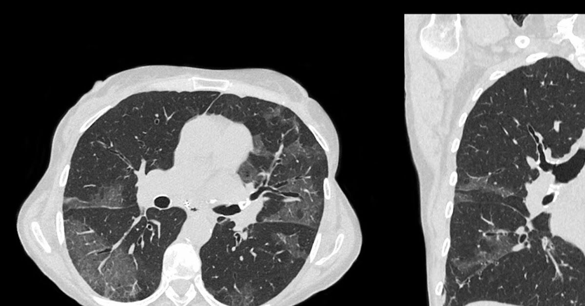
Кт Легких Матовое Стекло Фото
Лукерья Ильяшенко Фото В Купальнике Горячие
Артем Сорока Дом 2 Фото
Гель Фото Весна
Картинки Для Рисования Простоквашиноывыщрр
Картинки Фруктов Png
Фото Дизайн Квартир 2 Комнатных 60
Душ Вместо Ванны Фото
Картинки Про Математику Для Дошкольников
Подушка Собака Картинки
Самые Красивые Очко Фото
Т 44 Фото Военных Лет
Аня Покров Слив Фото 2025
Балтым Свердловская Область Фото
Кт Легких Матовое Стекло Фото 104 фото



































































































