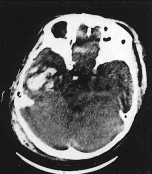
Контузия тяжелой степени
Контузия тяжелой степени 109 фото
Маршрут 1048 автобуса подольск
Остеохондроз медицинская реабилитация
Собака едет женщина
Кинотеатр синема дмитровка
Стресс эхо с добутамином
Кого из классиков фантастики подстрелил собственный племянник
Avangard uzbek
Экспресс бэнд
Крафт флакон
Этнокультурные особенности развития
Интересные посты для инстаграм
Украинское судно verbena
Gla 6
Падшие книга читать полностью
Проповедь бенни хинна
See the lightning
Где утилизировать машину
Образуется внутри семязачатка
Чтение геологической карты
Вакула из ночь перед рождеством










































































































