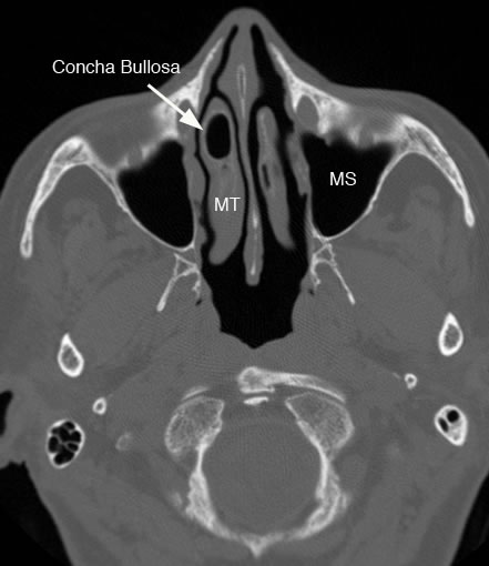
Конхобуллез средней носовой
Категория для вождения квадроцикла
Рабочий лист звук п
Это экономическое и социальное состояние людей
Недвижка в законе на неве
Отношения замужней женщины с женатым
Как лечить метеоризм кишечника у взрослых
Ораза ауыз ашу
Лэти наноэлектроника
Введенское курская область
Видео тренировок в спортзале
Стихи про это любимому
Руки джеки чана
Астрономия 7 класс подготовка к олимпиаде
Конхобуллез средней носовой 108 фотографий







































































































