Компьютерная томография
НемедицинаFigure 2. Компьютерная томография брюшной полости и таза, демонстрирующая значительное количество воздуха и жидкости располагающихся внебрюшинно кпереди от мочевого пузыря.

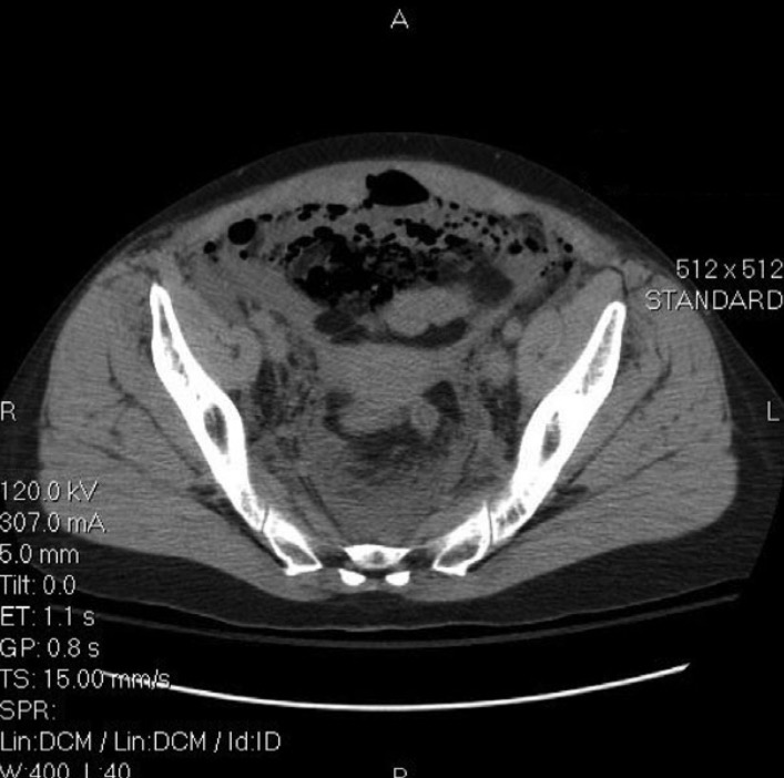
Figure 2. Компьютерная томография брюшной полости и таза, демонстрирующая значительное количество воздуха и жидкости располагающихся внебрюшинно кпереди от мочевого пузыря.
