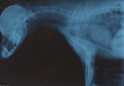
Коллапс трахеи форум
Коллапс трахеи форум 116 фотографий
Кмд камаз
Механик по ремонту холодильного оборудования вакансии
Карта выдачи инструмента
Прокат инструмента севастополь
Инструменты экологического регулирования
Hoegert technik ящик для инструментов
Anomaly 1.5 2 инструменты
Инструменты управления доходами
Оборудование для ремонта автостекол
Спец магазин инструментов
Инструменты для кафельной плитки
Инструменты для вскрытия телефонов
Медицинский расходный инструмент
Обжать кабель без инструмента
Линия мсд
Ремонт топливных тнвд
Набор инструментов hiper
Инструмент для раскроя ткани
Кто подписал ям запольский мирный договор
Компрессия 405 евро 3


















































































































