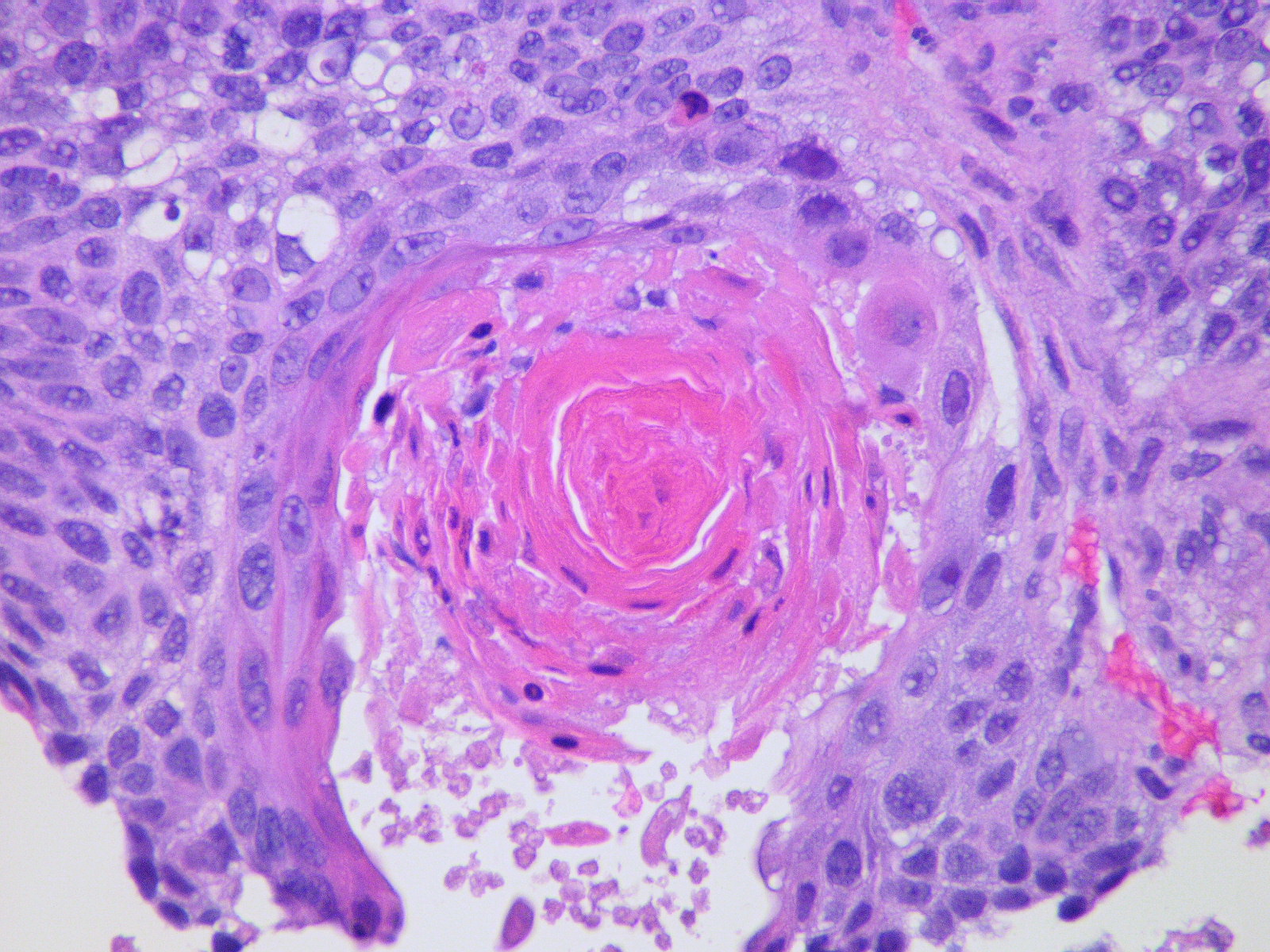
Клетки плоскоклеточного рака
Клетки плоскоклеточного рака 110 фотографий
Иностранная организация в 1с 8.3
Игры мертвые человеки
Телефон номер налоговую инспектора
Пой песню про новый год
Шрус или шруз
Слабое место пята
Сколько правильных глаголов
Трафарет животных для вырезания распечатать
Круг стала бабушкой
Что взять читать в библиотеке
Ноет живот за неделю до месячных
Говорящая собака живая
Фанфики фиксики 18
Этуаль комсомольск
Интерактивная игра разговор о важном
Подарок на юбилей 85
Iphone 5 гб
Создателями первой славянской азбуки были великие просветители
Миопатия код
Как получить нужную книгу










































































































