Кисты шеи для 🫖
ikletskaya_the_pathologist1. Киста первой жаберной щели

Локализация I тип – преаурикулярно, II тип – ретроаурикулярно, за углом нижней челюсти. Возможна связь с наружным слуховым проходом.
Выстилка многослойный плоский ороговевающий эпителий.
Особенности строения стенки I тип – только эктодермальные производные (только эпителий); II тип – производные эктодермы и мезодермы (эпителий, придатки кожи, хрящ).
Примечания малигнизация исключительно редко(плоскоклеточная карцинома), в первую очередь в данной локализации необходимо исключить нодальные метастазы орофарингеальной плоскоклеточной карциномы.
2. Киста второй жаберной щели

Локализация кпереди от грудинно-ключично-сосцевидной мышцы, часто связаны с глоткой.
Выстилка многослойный плоский неороговевающий или призматический реснитчатый (респираторный) эпителий.
Особенности строения стенки субэпителиально определяется лимфоидная ткань с хорошо выраженными фолликулами.
Примечания см.выше
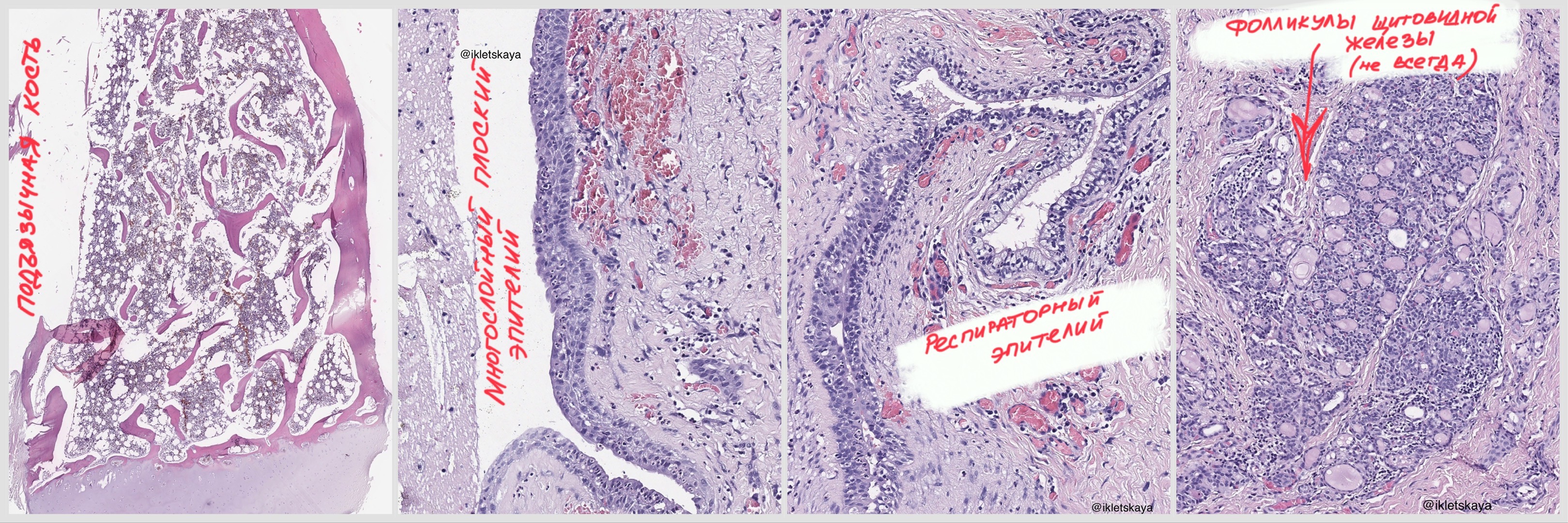
3. Киста щитоязычного протока

Локализация срединно (реже – латерально, но никогда – латеральнее магистральных сосудов) по ходу щитоязычногопротока (от foramen cecum на корне языка до уровня щитовидного хряща). В большинстве случаев связана с подъязычной костью.
Выстилка многослойный плоский неороговевающий, респираторный и кубический эпителий в различных комбинациях. Часто выстилка замещена грануляционной тканью, выражено продуктивное воспаление.
Особенности строения стенки часто определяется ткань щитовидной железы, иногда встречаются белково-слизистые железы.
Примечания в макропрепарате почти всегда присутствует подъязычная кость.
Малигнизация: карциномы щитовидной железы.
4. Киста тимуса

Локализация переднее средостение, шея. Унилокулярные – врождённые, мультилокулярные – приобретённые.
Выстилка несколько слоёв плоского, кубического и призматического эпителия
Особенности строения стенки на периферии определяется ткань тимуса с тельцами Гассаля. В мультилокулярных кистах выражено продуктивное воспаление с формированием грануляционной ткани, отложением кристаллов холестерола, гигантоклеточной реакцией
Примечания может быть ассоциирована с карциномой тимуса и медиастинальными лимфомами.
5. Бронхогенная киста

Локализация голова и шея (чаще срединно, реже латерально или подкожно), средостение, лёгкие, брюшная полость, забрюшинное пространство
Выстилка респираторный эпителий с наличием реснитчатых и бокаловидных клеток
Особенности строения стенки аналогично бронху с вариабельным количеством белково-слизистых желез, гиалинового хряща и гладких мышц
Примечания малигнизация крайне редко (описаны плоскоклеточные и крупноклеточные карциномы, карциномы из бронхиальных желез).
6. Дупликатура пищевода

Локализация по ходу пищевода, чаще в области его нижней трети.
Выстилка многослойный плоский неороговевающий эпителий, реже респираторный, может содержать гетеротопированные участки слизистой оболочки желудка, ткань поджелудочной железы.
Особенности строения стенки слизистая оболочка, подслизистая основа, два слоя гладких мышц.
Примечания малигнизация - описаны единичные случаи аденокарцином, возникших в дупликационных кистах пищевода.
дополнительно: великолепная статья о бранхиогенных аномалиях