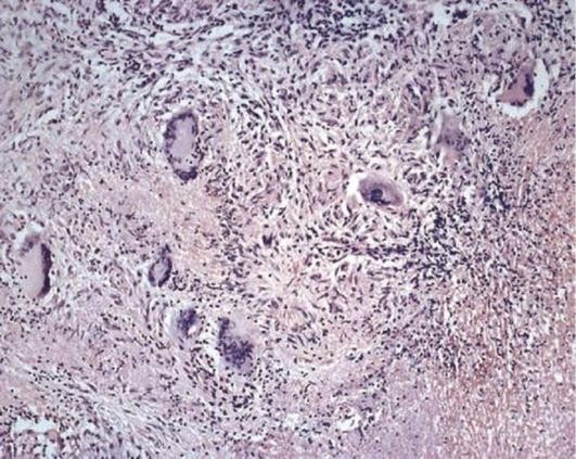
Казеозные гранулемы
Казеозные гранулемы 102 фотографий
Рэп музыка белых
Флексавен таблетки инструкция по применению
Войлочные накладки на мебель
Телефон xiaomi 9 4 64gb
Пежо боксер цельнометаллический бу
Роблоксера roblox
Starline маяк м15
Rog scar 2
Хороший препарат от простуды и гриппа
Читать шампанское и розы 90 глава
Итоговая кр по математике 4 класс
Обзор магнитолы андроид 9 дюймов
Ущемление белой линии живота
Jira backlog
Ук жилстандарт ярославль
Победы 5а ярославль
Капсулы омега 3 fish oil concentrate
Тинькофф перово
Юлдуз усманова янги кушиклари мп3
Петергоф фонтаны можно ли с собакой




































































































