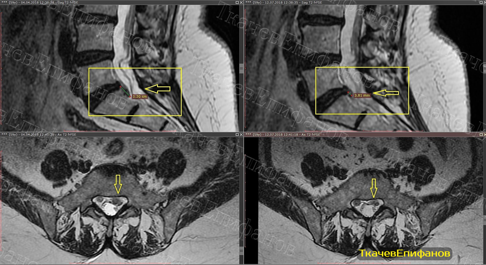
Каудальная миграция диска l4 l5
Какие слова карамзин ввел в русский
Openai api client
Кардиомиопатия дилатационная 142.0 что это
Актер мастрояни сканворд 8 букв сканворд
Липкие руки что делать
Предложение с to drive someone crazy
Форсунка вольво д13
Заложенная улица в монополии
Чем промыть зелень
Biggest white breasts
Музыки васили фаттаховой
Упражнение шпаргалка
Встретились 2 легенды
Каудальная миграция диска l4 l5 113 фотографий









































































































