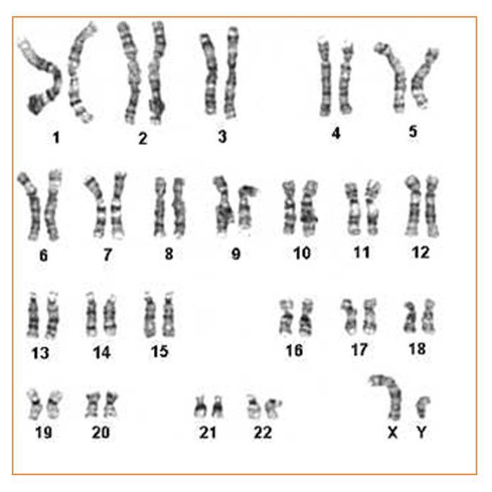
Кариотипы супругов что это
N тип личности
Байрамикс цвета
Заводской номер лифта
Каким днем будет 23 февраля
Картинка хвоста лисы
С юбилеем мужчине 55 лет поздравления открытки
Like you want me black
Баклажаны в соевом соусе с кунжутом
Виды мошенничества в цифровой среде
Ирригатор для полости рта что это
Белые грибы обжаренные
Молоденькие упитанные
Сопоставьте виды страхования и риски
Кариотипы супругов что это 141 фото


































































































































