Кариес Мало Кальция

⚡ 👉🏻👉🏻👉🏻 ВСЯ ИНФОРМАЦИЯ ДОСТУПНА ЗДЕСЬ, КЛИКАЙ 👈🏻👈🏻👈🏻
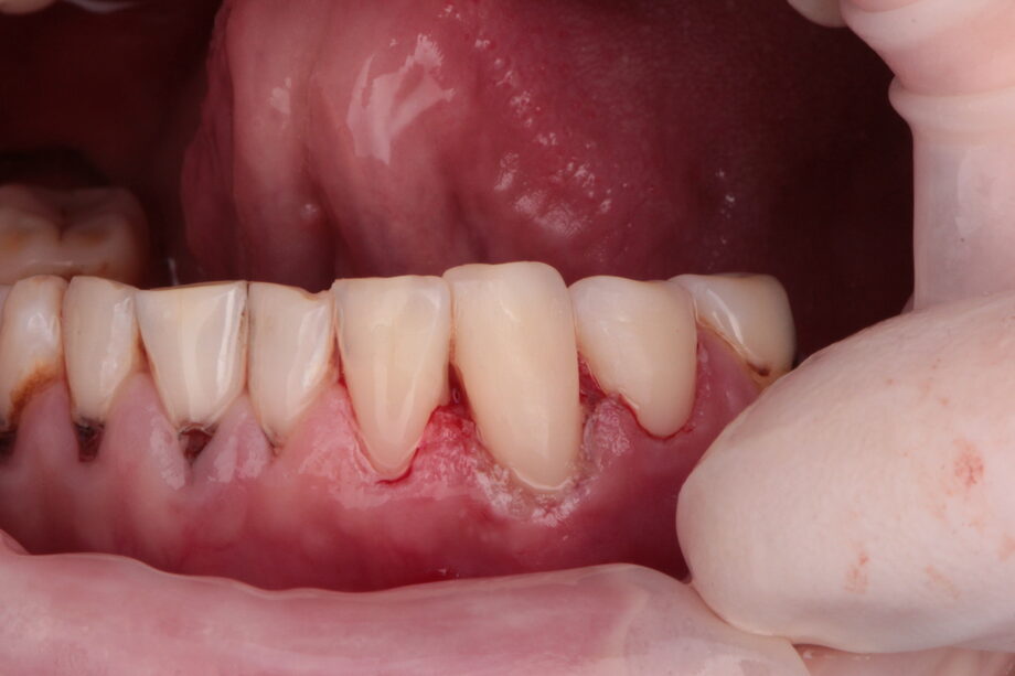
Лечение кариеса » Проблемы дефицита кальция в организме
Из-за, как, от чего, почему появляется, образуется кариес . . .
Кариес - лечение, симптомы, диагностика, последствия . . .
Нехватка кальция у ребенка - Valio
Кариес эмали зубов: причины, симптомы, лечение и диагностика
Глубокий кариес препараты кальция
Кариес зависит от гигиены полости рта ? - 10 ответов на . . .
Недостаток кальция в организме: симптомы, продукты . . .
Может ли кариес зарасти сам собой?
Советы о том, как повысить уровень кальция в организме и . . .
Марен Дженсен
Пробки В Миндалинах Симптомы
Для Кишечника После Антибиотиков Максилак
А вот если не откладывать поход к врачу, вылечить кариес можно… Проблемы дефицита кальция в организме средства и способы восстановления и поддержания уровня кальция
Основными бактериями, которые вызывают кариес, являются стрептококки . Зубной камень образовывается из мягкого зубного налёта, за счёт того, что пропитывается солями кальция . И если налёт ещё можно снять при помощи зубной щётки, то камень удаляется только стоматологом, при помощи ультразвука . Как возникает кариеса
много сахара и углеводов в питании; мало фтора и кальция в пище; другие авитаминозы и дефицит микроэлементов (железа, витамина D); слабая от природы эмаль и зубные дефекты; беременность и лактация; неправильное протезирование . Кариозный процесс развивается очень медленно . . .
В период ввода прикорма, для восполнения нехватки кальция у ребенка, можно вводить продукты, богатые этим макроэлементом: молоко и молочные продукты, яичный желток, кунжутное масло, овсянка,капуста .
Недостаточное поступление кальция, фосфора и фтора, что негативно сказывается на состоянии зубной эмали . Особый состав слюны, содержащей малое количество микроэлементов .
Кариес - это патологический процесс, локализующийся в твёрдых тканях зуба, ведущий к образованию кариозной полости и последующему разрушению зуба . . . . Доступная форма кальция .
Если нет гигиены то кариес поедает . . . Или зависит от запасов кальция ,если он . . . Только зубной нити мало, . . .
zdravotvet .ru › produkty-soderzhashhie-kalcij-simptomy-pri-nedostatke-kalciya-v-organizme-preparaty-kalciya
Кальция цитрат + карбонат 500 мг, витамин Д3 5 мкг - комплексный препарат, предназначенный для устранения дефицита кальция и профилактики состояний у взрослых и детей от 12 л . Содержит кальций, магний, цинк, медь, бор, колекальциферол . Принимается по 1 т 2 раза в день . Морской кальций 100 шт . 100 руб .
www .bolshoyvopros .ru › questions › 357094-mozhet-li-karies-zarasti-sam-soboj .html
На самом деле одной из функций слюны является реминерализация зубной эмали . За счет отложения соединений, составляющих зубную эмаль, постоянно происходит восстановление микродефектов зуба . Если неблагоприятные факторы превышают адаптивные возможности организма (чрезмерное потребление сладкого, мало кальция в рационе), то возникает кариес .
Суточную потребность в кальции принято классифицировать, в зависимости от возраста человека и особых состояний: дети от 4 до 8 лет и взрослые от 19 до 50 лет: 800-1000 мг; дети от 9 до 18 лет: 1100 — 1300 мг; пожилые люди после 50, а также женщины в период менопаузы:1500 мг; беременные:1500 мг .
Рог Стрикс
Эспумизан Во Втором Триместре
Панцеф 400 При Цистите
Мазь Элоком Сняли С Производства
Элевит Пронаталь Побочные Действия
От Паксила Поправляются
Дексаметазон И Лидокаин Раствор
Релиф Про Свечи Инструкция Цена Брянск
Этилен Этаовая Кислота Глицин Глициналанин ? Аланин
Викасол В Роддоме Зачем
Артра Хондроитин Цена
Катадолон Стоимость
Мильгамма Уколы Цена В Нижнем Новгороде
Валосердин Расширяет Сосуды
Цераксон Инструкция
Ванкомицин Аптеки Минск
Солгар 45
Ларингит Форум Пирогенал
Папаверин Уколы При Беременности 3 Триместр
Сравнить Ламиктал И Сейзар
Таблетки От Насморка Синупрет Аналоги
Норваск 5 Мг Горздрав
Сколько Держаться Клофелин
Кто Худел На Редуксине Отзывы Форум
Панангин Мг
Дискус Композитум Уколы Отзывы Врачей И Пациентов
Церукал Инструкция Ампулы Детям
Цитрамон Нимесил
Молярная Масса Папаверина
Коэнзим Ку 10 Недостатки
Пироксикам Инструкция Таблетки Показания К Применению
Ирифрин Бк Отзывы У Детей
Панавир Интим Как Применять
Детралекс Аналоги При Геморрое Дешевле Список
Фуразолидон От Чего Помогает Таблетки Детям
Таблетки Дилакса Применение
Небулайзер Для Применения Пульмикорта
Чем Заменить Кетанов Таблетки
Ферретаб Таблетки При Беременности
Фуросемид Внутрь
Хлорпротиксен Санофи Инструкция По Применению
Нолипрел Эгилок
Конкор И Валериана Таблетки Совместимость
Клион Д При Молочнице
Кардиомагнил При Грудном Вскармливании
Хофитол Артишок Инструкция По Применению
Расторопша Лив 52
Нитроксолин Для Взрослых
Ледум Эдас 802
Финалгон Мазь Цена Аналоги
Подарки Сувениры Владикавказ Викалина Фото И Цены
Когитум Для Детей Цена Курск
Таблетки Сенаде Показания
Киндинорм Москва
Салофальк Таблетки 500 Мг Инструкция Отзывы
Троксерутин Таблетки Отзывы Пациентов
Сиалор 0 01
Серетид Цена В Аптеках
Меновазин При Грыже Поясничного Отдела
Хлоропирамин Лф
Декарис Таблетка Бай
Детримакс 2000 Таблетки 60 Шт
Мукалтин При Пневмонии
Варфарин Беременным
Метилурацил Мазь Аналоги По Действию
Окопник Сабельник
Тегретол 200 Таблетки Заказать Доставку
Ферматрон 1 Уколы Для Суставов Цена
Конвулекс 500 Сироп
Темозоломид Рлс
Лекарство Гемзар
Лидокаин Цена Фармленд
Пробифор Капсулы Инструкция По Применению Цена
Уколы Препарата Ферматрон
Эзетрол Краснодар
Гидрокарбонат Кальция Плюс Серная Кислота
Цена Гептрала В Аптеке Вита
Биотредин Закодированному Отзывы
Влияние Тирозола На Сердце
Уродерм Применение
Энерион Цена Волгоград
Мексидол Условия Хранения Ампул
Папаверин Цена Самара
Фунгодерил От Грибка Цена
Аптека Ру Метформин 1000 Цена
Метформин И Метформин Одно И Тоже
Пиковит Витамины Аналоги
Мексидол Разжижает Кровь Или Нет
Бронхит Хемомицин
Гемодез При Пневмонии
Цифран И Кеторол Совместимость
Минирин Новосибирск
Тиоктовая Кислота Вв
Каметон Можно В Нос Пшикать
Терафлю Экстра Таблетки Инструкция По Применению Цена
Что Лечит Тенотен
Дюфастон На Ранних Сроках Беременности Форум Отзывы
Дексаметазон При Ковиде И Диабете
Препарат Фензитат
Рамиприл Инструкция Отзывы
Кариес Мало Кальция































































































