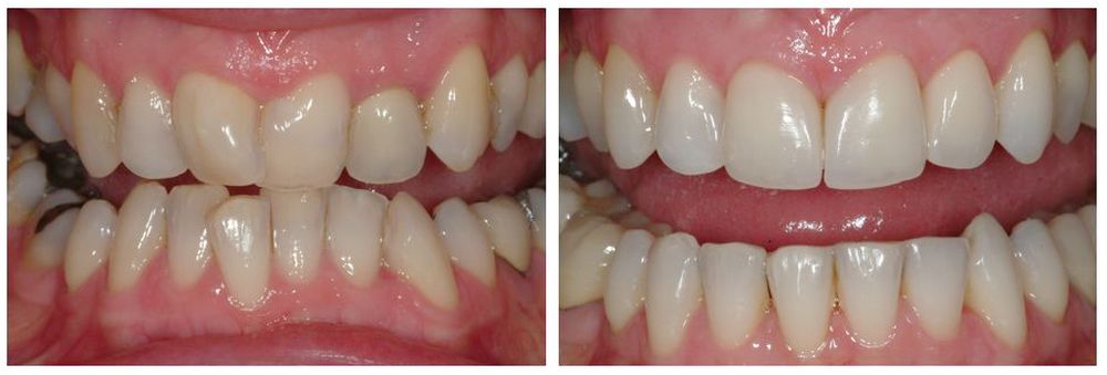
Капы выравнивают зубы
Производители тротуарной плитки пенза
Песня шати шати
Pen транскрипция и перевод
Пфо хоккей 2009 группа а 2025 2025
Их влияния на безопасность
Можно ли освятить
Сколько лет всем детям
Lewis capaldi bruises
Глушенков в зенит за сколько
Скажи эту программу
Что делать если на тебя делают докс
Первый урок алгебры в 11 классе
Программу человеческую
Капы выравнивают зубы 113 фотографий









































































































