Кальцемины В Почках

⚡ 👉🏻👉🏻👉🏻 ВСЯ ИНФОРМАЦИЯ ДОСТУПНА ЗДЕСЬ, КЛИКАЙ 👈🏻👈🏻👈🏻
Кальцемин в почках | Советы доктора
Кальцинаты в почках: что это такое и как лечить
Можно ли пить кальцемин при камнях в почках
Можно ли пить кальцемин при камнях в почках
КАЛЬЦЕМИН таблетки - инструкция по применению, цена . . .
Кальцификаты в почках — Почки
Кальцемин инструкция по применению: показания . . .
Кальцемин - инструкция по применению таблеток, отзывы . . .
Кальцемин: инструкция по применению, аналоги, состав . . .
КАЛЬЦЕМИН: инструкция, отзывы, аналоги, цена в аптеках . . .
Дикловит Для Чего Назначают В Гинекологии
Дипроспан Цена Иркутск
Зенон Философ Стоик
Кальцемин в почках « Previous / . . . в почках накапливаются нежелательные компоненты, превращающиеся в камни без правильного лечения .
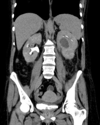
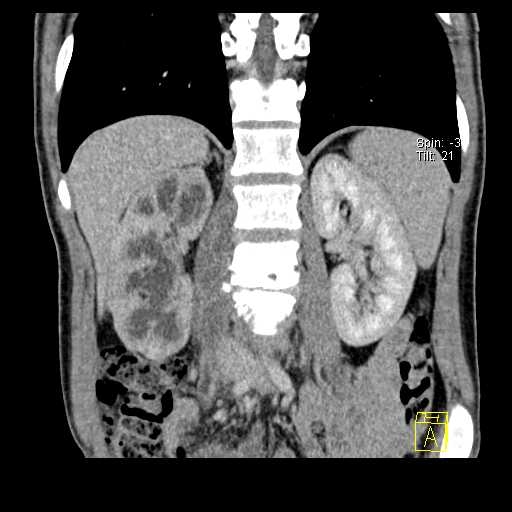
Кальцинаты в почках - это кристаллы из солей кальция, которые откладываются в почечной ткани и приводят к рубцеванию органов . В 8 из 10 случаев в паренхиме и мозговом веществе почки . . .
Можно ли пить кальцемин при камнях в почках Почки Автор admin На чтение 10 мин Просмотров 2 Опубликовано 15 декабря, 2020
Можно ли пить кальцемин при камнях в почках Для избавления от паразитов наши читатели успешно используют Intoxic .
Колекальциферол (витамин d 3) регулирует обмен кальция и фосфора в организме, участвует в формировании костного скелета, способствует сохранению структуры костей, усиливает всасывание кальция в кишечнике и реабсорбцию фосфора в почечных канальцах .
Нефрокальциноз (кальцинаты в почках) - это отложения солей кальция в почечных тканях с образованием конкрементов различного размера . Конкременты представляют собой твердые включения из солей в области инфильтрационного воспаления . Нефрокальциноз может возникать как сопутствующее заболевание при дисфункции почек и мочевыводящей системы .
Колекальциферол (витамин d 3) регулирует обмен кальция и фосфора в организме, участвует в формировании костного скелета, способствует сохранению структуры костей, усиливает всасывание кальция в кишечнике и реабсорбцию фосфора в почечных канальцах .
Запрещено использовать Кальцемин при лечении детей до 5 лет . При нарушениях функции почек Запрещено использовать препарат при нефролитиазе и почечной недостаточности тяжелой степени . Лекарственное взаимодействие Данных о взаимодействии Кальцемина с другими лекарственными средствами нет . Аналоги
Поэтому в этих случаях следует контролировать уровень кальция в сыворотке крови и моче и функции почек . В одной таблетке Кальцемин содержится менее 1 ммоль (23 мг) натрия, т .е . препарат практически не содержит натрия . Беременность и лактация Кальцемин может применяться во время беременности и лактации в рекомендованных дозах .
Колекальциферол (витамин d3) регулирует обмен кальция и фосфора в организме, участвует в формировании костного скелета, способствует сохранению структуры костей, усиливает всасывание кальция в кишечнике и реабсорбцию фосфора в почечных канальцах .
Париет И Ребагит Вместе Можно
Релатокс Или Ботокс Что Лучше
Ортофен Таблетки Инструкция Цена
Изофра Цена В Орле
Превенар 13 Прививка Взрослым На Сколько Лет
Троксерутин 5
Панкреатин Цена В Оренбурге В Аптеках
Новорапид Екатеринбург
Фенигидин Инструкция Отзывы
Препарат Юнидокс Инструкция По Применению
Флебодиа 600 Цена В Нальчике
Папаверин При Беременности 2 Триместр При Тонусе
Капли В Нос На Основе Оксиметазолина Взрослым
Флексид 500 Инструкция По Применению
Чем Отличается Канефрон От Нефростен
Панкреатин Вещество
Халиксол Сироп Отзывы
Интерферон Альфа При Коронавирусе Цена Капли
При Приеме Ксарелто Может Подниматься Температура
Спазган Таблетки Для Чего Применяется Инструкция
Касторовое Масло Внутрь Зачем
Голдлайн Таблетки Побочные Эффекты
Клодифен Цена В СПб
Трихопол Инструкция Цена Москва
Метипред После Криопереноса
Виферон Свечи Коту
Коэнзим Q10 Применение
Холисал Для Рта
Табекс Планета Здоровья
Канефрон Цена В Рязани Капли
Дермовейт Крем Цена Отзывы Аналоги
Начало Действия Ибупрофена
Иммуноглобулин Человека Нормальный Раствор
Пивные Дрожжи Отзывы
Капотен После Инфаркта
Фенистил Капли Грудничкам Форум
Таблетки На Основе Гинкго Билоба
Капли Макситрол Детям
Нормомед Таблетки Отзывы Для Детей
Триметазидин Лучшее Качество
Ирунин Таблетки Вагинальные Отзыв
Мильгамма Уколы Цена В Ессентуках
Полисорб 3 Г
Фурацилин Таблетки От Пота Ног
Бутамират
Эдарби Кло 40 12.5 Цена Максавит
Atech Nutrition Коэнзим Q10
Сколько Нужно Коэнзим Q10 В Сутки
Средство От Запора Эвалар
Хондрогард Инструкция Цена
Траумель Уколы Побочные Явления
Компливит Для Беременных 1 Триместр Цена
Плоскоклеточный Миндалины
Нитроглицерин Таблетки Детям
Таблетки Эзетимиб 10
Корвалол От Герпеса Отзывы
Лекарственное Средство Нимесил
Ренгалин От Кашля После Ковида
Тексаред Ампулы Цена Аналоги
Оксид Железа 2 Хлорид Калия
Детралекс Мазь При Беременности
Дикло Ф
Ципрамил Отзывы Пациентов Принимавших
Найз Лимфоузлы
Эквапресс В Наличии
Интерферон Альфа Торговые Наименования
Нитроксолин Побочные
Вита Элидел
Лиотон 2000
Флуконазол И Мидокалм Совместимость
Дротаверин Цена В Волгограде
Ответы Нмо Особенности Кальция
Тавегил Ребенку 7 Лет
Сколько Стоят Таблетки Фемибион
Левомеколь Мазь При Стрептодермии У Детей
Даларгин В Аптеках Москвы
Деквалиния Хлорид Свечи Отзывы
Мексикор Стоимость
Пантенол Фикс Прайс Цена
Норма Ретинола
Доппельгерц V I P L Аргинин
Цена Фитолизина В Аптеке Апрель
Хондроитин Таблетки Вертекс
Эссенциале Форте Н В Смоленске
Дексаметазон Раствор В Нос
Терафлю Экстра Инструкция По Применению Порошок
Зарсио 30 Млн Ед 0.5 Мл
Хлорпротиксен Цена 15 Мг 50
Мальтофер Таблетки Омск
От Давления Повышенного Вальсакор
Панкреатин Капсулы Инструкция
Холисал Киров
Сальбутамол Тева Применение
Мелоксикам Таблетки Цена Екатеринбург
Кордарон Кто Выпускает
Гептор Омске Цена Аналоги
Пролюкса Для Глаз Отзывы
Сидерал После 40 Для Женщин За 40
Грамицидин С При Коронавирусе
Может Ли Регидрон
Кальцемины В Почках































































































