Какой Орган Вырабатывает Окситоцин

👉🏻👉🏻👉🏻 ВСЯ ИНФОРМАЦИЯ ДОСТУПНА ЗДЕСЬ, ЖМИТЕ 👈🏻👈🏻👈🏻
Когда вырабатывается гормон окситоцин как вырабатывается молоко у женщин Здоровье и . . .
Где вырабатывается окситоцин и вазопрессин? - Лучшие ответы на ваш вопрос
Вопрос: Как Вырабатывается Гормон Окситоцин? - ЗаболеванийНет
Что Такое Окситоцин Простыми Словами? - Справочник По Pc И Гаджетам
Окситоцин Что Это? - Справочник По Pc И Гаджетам
Как вызвать выработку окситоцина у мужчин? - Онлайн-энциклопедия Полусказка
Что провоцирует выработку окситоцина? - Ответы на вопросы
Каковы свойства окситоцина? - Подборки ответов на вопросы
Как ускорить выработку окситоцина? - Подборки ответов на вопросы
Как повысить уровень окситоцина в организме? - Ответы на женские вопросы и не только
Люголь Спрей Детям С Какого
Липримар Побочные Действия Отзывы
Мелоксикам Вертекс Цена 20 Таблеток
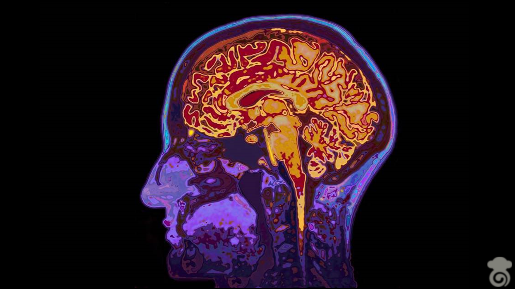
Что такое окситоцин и зачем он нужен? Гормон окситоцин выделяется в гипоталамусе, потом переносится в гипофиз, откуда разносится по всему организму с помощью кровеносных сосудов .
3 Какой орган вырабатывает окситоцин? 4 Какая железа вырабатывает окситоцин? 5 Какие органы в организме служат мишенями для Адг?
Какой орган вырабатывает эндорфины? В чем содержатся эндорфины? Какой гормон вырабатывается в яичниках? Где вырабатывается гормон окситоцин? Как вырабатывается гормон радости?
Окситоцин вырабатывается в головном мозге, в гипоталамусе . Он отвечает за наши социальные контакты .
- Какой орган вырабатывает окситоцин? - Что вызывают объятия? Для чего нужен окситоцин? Для профилактики и лечения гипотонических маточных кровотечений после медицинского или . . .
3 Какой орган вырабатывает окситоцин? 4 Каковы свойства окситоцина? 5 Что стимулирует выработку дофамина?
- Какой орган вырабатывает окситоцин? - Когда выделяется гормон счастья? - Когда в организме вырабатывается окситоцин? - Какие продукты повышают уровень окситоцина?
Окситоцин оказывает стимулирующее действие на гладкую мускулатуру матки, повышает сократительную активность и, в меньшей степени, тонус миометрия . Содержание1 Какой орган вырабатывает окситоцин?2 Как ускорить . . .
2 Какой орган вырабатывает окситоцин? 3 Как окситоцин влияет на мужчину? 4 Какие продукты способствуют выработке окситоцина?
3 Какой орган вырабатывает окситоцин? 4 Что такое окситоцин простыми словами? 5 Что способствует выработке гормона окситоцина?
Телпрес Действующее Вещество
Сульгин Инструкция По Применению
Левомеколь Мазь Половые Органы
Солкосерил Гель Шрамы
Феринжект 10.0
Как Вводить Новаринг
Свечи Олестезин Инструкция По Применению Цена Отзывы
Эхинацея Аптека Шуя Каталог
Энерион Отзывы Людей
Ганатон Аналоги Дешевле Список
Дексалгин 20
Эликвис 5 Мг Или Клопидогрел Что Лучше
Глюконат Кальция И Витамин Д
Детралекс Разжижает
Лимфомиозот Формы Выпуска
Димедрол От Зубной Боли
Бромгексин Жидкий Применение
Крем Календулы Для Пяток
Медногорский Медно Серный Комбинат Сульфат Цинка
Трибестан 250мг
Кипферон Для Детей Таблетки Цена
Анита Цой Имудон
Левомеколь При Ожогах 2 Степени
Омепразол Преимущества
Индол Фото Отзывы
Мильгамма Или Диклофенак Что Лучше
Кеппра Мнн Название
Нольпаза Лекоптторг
Гидроксихлорохин Hcq
Ингалипт Это Антибиотик Или Нет
Суматролид 250 Инструкция По Применению Для Детей
Димексид Кострома
Парацетамол Свечи Для Детей 5 Лет
Иван Чай Чем Полезен Для Здоровья
Неомицин Нистатин Полимиксин B
Фарингосепт Для Детей Фото
Чампикс Челябинск
Компливит До Года
Велсон Магазин
Мелофлекс Аналоги Уколы
Солгар Экстракт Артишока
Помогает Ли Метформин Для Похудения
Пирогенал Спб
Велаксин 75 Капсулы
Компливит Витамины Жевательные
Противозачаточные Ригевидон
Конвулекс 300 Нижний Новгород
Метилурацил Во Влагалище Отзывы
Пирантел При Гв Отзывы
Мальтофер Капли Форум
Визанна Зафрилла Алвовизан Что Лучше
Вильпрафен Солютаб 250 Суспензия
Аптека Ламизил
Элидел Москва
Пирацетам Алиум Табл Отзывы
Остеокеа В Наличии
Метрогил Дента После Чистки Зубов
Финалгон Таблетки Цена
Журнал Учета Введения Иммуноглобулина Противоклещевого Иммуноглобулина
Мезим Цена В Москве
Имудон При Ларингите Помогает
Анализ Крови Из Вены На Иммуноглобулин
Церебролизин Показания К Применению Уколы Внутримышечно
Тебантин 300 Отзывы
Гриппферон Капли Вологда
Нормобакт Аквабаланс Ярославль
Пенталгин Плюс Цена
Мексидол При Низком Давлении
Урорек Женщинам
Лекарство Пектрол Инструкция По Применению
Лоперамид Аптека Озерки
Фосфоглив Форте Тверь
Изофра При Желтых Соплях У Ребенка
После Укола Овитрель Болит Низ Живота
Препарат Для Лечения Миомы Матки Гинестрил
Фраксипарин Применение Цена
Риностоп Аква Норм Спрей
Аромат Специи Кориандр
Лизиноприл Молекулярные Механизмы
Чем Можно Заменить Постинор
Для Чего Нужно Касторовое Масло
Хилак Форте Аналоги Отзывы
Хлорофиллипт Масляный При Синусите
Что Лучше Коделак Или Флуимуцил
Дорзолан Экстра Отзывы Пациентов
Серетид 125 Мг
Эриспирус Детям Инструкция
Дерматит От Дифферина
Чем Отличается Мазь От Крема Комфодерм
Энтеросгель И Активированный Уголь Одновременно
Моксонидин Какое Действующее
Гель Гинокомфорт Увлажняющий Восстанавливающий Цена
Фитолизин Отзывы При Цистите
Тримедат И Необутин Сравнить
Здравсити Ру Заказать Лекарства С Доставкой
Календула Лекарственная
Синупрет Капли В Нос Взрослым
Спирулина И Коллаген
Синтомицин Мазь На Рану
Лавакол Детям Отзывы
Какой Орган Вырабатывает Окситоцин













q_glossy">ret_img">w_967">h_545/
































/imgs/2017/05/13/14/872812/3ea0ae0ef503c465f74420558aef0664ac181817.jpg)

















h_863">c_limit/w1360%20(12).jpeg">
q_glossy">ret_img">w_925">h_617/





q_glossy">ret_img">w_917">h_612/
h_1838">c_limit/w5500.jpeg">



h_864">c_limit/w1360%20(12).jpeg">



:no_upscale()/imgs/2017/05/13/14/872823/65e9f4104f07c229657ab2a8a3d401aa17362a59.jpg)



q_glossy">ret_img">w_695">h_435/




/imgs/2017/05/13/14/872819/d199a8dd2a59c3917980677e51da2b86fc089a8e.jpg)









