Как Выглядят Метастазы На Узи Фото

⚡ 👉🏻👉🏻👉🏻 ВСЯ ИНФОРМАЦИЯ ДОСТУПНА ЗДЕСЬ, КЛИКАЙ 👈🏻👈🏻👈🏻
Как выглядят метастазы? Фото и описание
Видны ли метастазы на узи, разновидности метастазов и как . . .
Как выглядят метастазы рака: фото с подробным описанием
Как выглядят метастазы рака: фото с подробным описанием . . .
Как выглядят метастазы рака на УЗИ, видны ли они?
Видны ли метастазы на УЗИ, что показывает
Видно ли на узи метастазы в лимфоузлах - Врачебный метод
Видны ли метастазы на узи, разновидности метастазов и как . . .
Видны ли метастазы на узи — Все о печени
Метастазы в печени на УЗИ: для чего делают ультразвуковое . . .
Фото Обеденных Интерьеров
Породы Собак Хаунд Фото
Самый Вкусный Банан Фото
Как выглядят метастазы: ФОТО, описание и классификация в зависимости от вида онкологии и пораженного органа . Диагностика и методы лечения метастазов .
Как выглядит рак на фото УЗИ . Роль ультразвукового исследования в диагностике опухолей . Обнаружив на УЗИ новообразование, врач не сможет сразу сказать о том, злокачественное оно или нет .
stoprak .info › vidy › metastazy › kak-vyglyadyat-foto-opuxolej-vo-vsex-organax .html
Как выглядят метастазы рака? Существует классификация опухолей, которая включает несколько разновидностей . На фото показаны патологии во всех органах
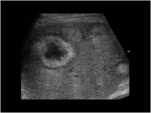
Как выглядят метастазы на УЗИ? На мониторе ультразвукового аппарата метастатическая опухоль просматривается в виде небольшого эхогенного участка с четко выраженной границей .
У многих возникает вопрос, а можно ли увидеть метастазы рака на УЗИ и если да, то как они выглядят . На эти вопросы ответит данная статья .
Как выглядят метастазы во время диагностики . На поздних этапах развития заболевания в организме появляются метастазы . Чаще они появляются в печени, лимфоузлах либо легких .
Как выглядят метастазы рака на УЗИ, видны ли они? Наверное, каждый знает, что такое рак . Это одно из самых опасных заболеваний нашего века .
Как выглядят метастазы рака на УЗИ, видны ли они? Наверное, каждый знает, что такое рак . Это одно из самых опасных заболеваний нашего века .
Как выглядит рак на фото УЗИ . Роль ультразвукового исследования в диагностике опухолей . Обнаружив на УЗИ новообразование, врач не сможет сразу сказать о том, злокачественное оно или нет .
Как на УЗИ выглядят метастазы в печени . Местоположение раковых очагов представляется на экране в виде очаговых паренхиматозных изменений .
Светлана Колпакова Фото В Купальнике
Фото Блядей За 40
Уютная Осень Фото
Гномы Картинка На Прозрачном Фоне
Красивые Картинки Спокойной Ночи Мужчине Мерцающие
Картинки Морского Черта
Сауна Череповец Фото
Цветок Похожий На Мак Фото
День Рыбака Поздравления Прикольные Картинки
Азалия Садовая Морозостойкая Фото
Фото С Днем Рождения Эдуард
Поезда Фото Отзывы
Испечь Пирог Пошаговый Рецепт С Фото
Огурец Зятек Фото
Картинки Воздушный Транспорт Для Дошкольников
Серия Смотреть Фото
Виноград Кудерка Описание Сорта Фото Отзывы Видео
Школа 144 Красноярск Учителя Фото
Плоская Голая Девка Фото
Домашнее Фото Сиськи Крупным Планом
Крупные Фотографии Цветов
Фото Секса Голая Школа
Фото Яичек Котенка
Фото Красивой Пышной Блондинки
Шаурма Дома Рецепт С Фото Пошагово
Очень Красивые Картинки Природы
Проверить Штрафы С Фото Нарушения
Оформить Фото Онлайн Бесплатно Без Регистрации
Зонг Тонг Автобус Фото
Современный Дизайн Частного Дома Внутри Фото
Тойота Прадо 2022 Года Фото
Фото Голых Молодые Пухлых
Соленая Карамель Для Торта Рецепт С Фото
Фото Вк Бесплатно
Вьетнамская Американская Война Фото
Картинка С Названием Спасибо За Внимание
Широкая Кровать Фото
Уменьшить Размер Фото Для Вайбера
Заболевания Кожи Фотографии
Картинки Маленьких Лол
Почему В Телеграмме Не Видно Фото Контакта
Битва За Москву Картинки Фото
Сколько Фотографий В Альбоме
Можно Ли Восстановить Фотографии В Вк
Фото Клуба Ссср
Русское Порно Фото Минета
Гугл Фото Поиск По Лицам
Найти Картинки Майнкрафт
Стихи Детям 4 5 С Картинками
Зубные Протезы Съемные Цена И Фото
Эдвард Чесноков Комсомольская Правда Биография Фото
Голые Фото Популярных Звезд
Наталья Фатеева Болезнь Альцгеймера Фото
Машины Мазда Все Модели Фото И Цены
Штурвал Самолета Картинки Для Детей
Как Удалить Старые Фото В Ватсапе
Картинки Для Раскрашивания 3 4 Года
С Днем Рождения Женщине Официальное Картинки
Составь Картинку Животные
Картинки Игрушечных Пони
Милые Нежные Обнаженные Девушки Фото
Метро Кутузовская Фото
Материнская Любовь Картинки Со Смыслом
Порно Фото Секса Шевелящиеся
Достопримечательности Душанбе Фото
Кухни Леруа Мерлен Новосибирск Каталог Цены Фото
Порно Фото Оргазмы Зрелых Женщин
Новая Гранта Лифтбек Фото Цена
Кристина С Днем Рождения Картинки Детские
Рецепты Фото Анастасии
Картинки Полок Под Телевизор
Алиса Определить По Картинке
Смешные Фото Животных На Аву В Ватсап
Старое Фото На Память
Вид Стрижки Название Фото
Доброе Утро Девчонки Картинки Прикольные Смешные
Икона Святого Духа Фото
С Добрым Утром Красавица Картинки Девушке Красивые
Фото На Карте Памяти Не Открываются
Рим Фото Города Достопримечательности
Пожелания На День Свадьбы Картинки
Лгбт Картинки На Аву
Самолет Горы Фото
Пельмени С Курицей Фото
Ивлева Настя Горячие Фотографии
Антон Батырев Актер Фото
Срисовать Картинки Из Аниме Моя Геройская Академия
1 Дома Фотографии
Красная Парка Фото
Фото Лизы Арзамасовой В Нижнем
4 Фото 1 Слово Скачать
Заработать Деньги Лайкая Фото В Инстаграм
Пожелания Хорошего Весеннего Утра В Картинках
Светик С Днем Рождения Картинки Прикольные
Лада Лифтбек Борнео Фото
Картинки Про Мать
Комнатное Растение Пятнистые Листья Фото Название
Деревья Кавказа Фото
Дом С Эркером Из Кирпича Фото
Фото Мороженщика Из Игры
Как Выглядят Метастазы На Узи Фото
























































































