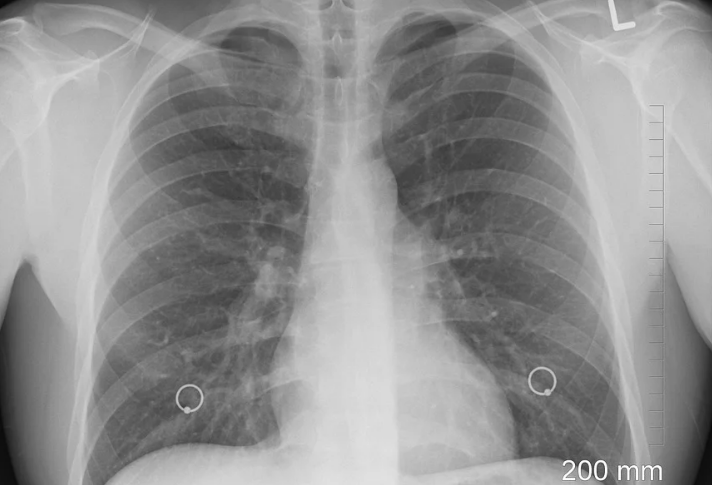
Как Выглядит Рак Легких На Рентгене Фото

👉🏻👉🏻👉🏻 ВСЯ ИНФОРМАЦИЯ ДОСТУПНА ЗДЕСЬ, ЖМИТЕ 👈🏻👈🏻👈🏻
Как выглядит рак легких на рентгене и его метастазы
Рентген здоровых легких: как выглядят снимки с патологиями . . .
Рак лёгких на рентгене: как выглядит на снимке опухоль
Рентген при раке легких: фото, результаты и заключение . . .
Что показывает рентген легких и бронхов - DocDoc .ru
Рак легких на рентгене - как его распознать и что делать
Как выглядит рак легких на рентгене: признаки заболевания . . .
Рак легких на рентгене - как выглядит . Показывает ли . . .
Воспаление легких на рентгене - как выглядит, фото . . .
Рентген снимок легких здорового человека: как выглядит?
Фото Снов Смешные
Дом Яйцо Фото
Новый Год В Доминикане Фото
Может ли рентген показать рак на начальных стадиях . Как выглядят различные формы рака легких и метастазы на снимке . Почему могут отсутствовать следы опухолей на рентгенограмме
Как выглядит рентгеновский снимок здоровых легких: фото, описание Рентген органов грудной клетки у здорового человека может обнаружить в легких дополнительные тени, которых не следует . . .
Как выглядит рак легких на рентгене: особенности диагностики Органы грудной клетки Автор Максим Александрович На чтение 6 мин .
1 Рак легких начальных стадий на рентгене - как определить 2 Рентген при центральном раке легкого 3 Рентгеновский снимок легких при центральном раке - что показывает
На рентгене видно тень и просветление, так как снимок является негативом пленки . Тень указывает на уплотненные области легких, а белые пятна указывают на скопление воздуха или жидкости .
Перед тем, как обсуждать вопрос о том, можно ли увидеть периферический рак легкого или недуг какого-либо иного вида на рентгене, стоит разобраться в проблеме процесса развития онкологии .
Главная » Рентген » Можно ли увидеть рак легких на рентгене и как он выглядит 01 .03 .2021 853 3 1 Рентген
Фото, как выглядит рак легких на рентгеновском исследовании, для специалистов-онкологов не представляет ничего удивительного, а вот пациенту доставляет мало удовольствия .
Перед ответом на вопрос о том, как выглядит фото рентген при воспалении легких, важно выделить некоторые особенности, касающиеся самого недуга .
Рентген легких здорового человека означает, что при диагностике он не имеет никаких патологий . Как выглядит рентгеновский снимок легкого в норме? Параметры определения .
Федя С Днем Рождения Картинки Мужчине
Картинка Путин В Золотом Унитазе Подтирается Конституцией
Нравятся Черно Белые Фото
Лена Ленина Фотографии
Последняя Четверть Луны Фото
Московские Ворота Калуга Фото И Описание
Сделать Фото Гриба
Лампа См Фото
Дарья Резникова Дизайнер Фото
Картинки Про Смерть
Шкафы Для Кухни Цена И Фото
Номер Двигателя Ланос 1.5 Фото
Девушки Сидят Фото Бесплатно
Роза Титчмарш Фото И Описание Отзывы
Фотографии Голые Жена И Муж
Оживи Цифру 6 Картинки
Тысячелистник Фото Окружающий Мир 2 Класс
Фото Сделанные Айфон Se
Лысые Кошки Сфинкс Фото Котята Цена
Холодильник Liebherr Цена Характеристика И Отзывы Фото
Коричневые Ресницы Для Наращивания Кому Подойдут Фото
Секс Ванной Фотография
Смотреть Инстаграм Без Регистрации Анонимный Фото
Сарафан Женский Зимний Для Офиса Фото
Лили Иви Откровенное Фото
Баклажан Умка Описание Сорта Фото Отзывы
Алергия На Коже Фото
Рабочий Инструмент Картинки
Перевести Картинку В Гиф
Скачать Скелет Человека Картинку
Порно Фото Ретро Попок
Дочь Президента Таджикистана Тахмина Фото
1 Место Поздравляю Картинки
Фото Людей После Пластики Неудачное
Покажи Картинку Солнышко
Красивые Подушки Своими Руками Выкройки Фото
Домик Для Лисы Картинки Для Детей
Столешница Дуб Бунратти В Интерьере Фото
Фото Рек Нижегородской Области
Сериал Живой Фото Актеров
Фото Поля Со Спутника
Эдвард Радзинский Википедия Фото
По Фото Работы По Русскому Языку
Картинки Письки Разные
Фото Продажа Аккаунтов
Отделка Печи Плиткой В Частном Доме Фото
Девушка Сидит Фото
Общага В Новосибирске Фото
Нд Магия Фиалка Фото И Описание
Порно Фото Колготках Модели
Фото Банкнот Сша
Поздравление Учительнице С 1 Сентября Картинки
Устройство Компьютера Для Чайников С Картинками
Фото Женщин Наркологов Крыма
Какие Виды Герани Бывают Фото И Название
Какие Потолки В Моде Фото
Скачать Картинки На Телефон Для Заставки Мужские
Картинки Г Мужчин
Фото Пляжа Самого Красивого
Двойное Мелирование Волос Фото
Фото Хвойных Деревьев И Их Названия
Новодеревеньковский Район Фото
Просмотр Фотографий Вконтакте
Наталья Сексуальный Фото
Груша Бере Жиффар Фото
Песня Аллегровой Фотография
Картинки Какое Полушарие Доминирует
Девушка Вани Усовича Настя Фото
Xiaomi Redmi Note 8 Pro Примеры Фото
Имитация Люверсной Ленты Фотографии
Всемирный День Контрацептивов Картинки
Оформление Участка На Даче Своими Руками Фото
Фото Выпускных 2022 Год
Государственные Флаги Стран Фото
Лидия Федосеева Шукшина В Молодости Фото
Фото Актрисы Розановой
Секс 20 Летних Фото
Сорт Винограда Эмир Фото Видео
Перец Сорт Ласточка Фото Отзывы
Стрижка Горшок Женская Фото На Короткие Волосы
Фото Слезы Души
Сорт Капусты Назови Описание Фото Отзывы
Фото Голая В Туфлях Частное
Как Сжать Картинку На Компьютере
Фиат Купе Фото
Олег Меньшиков В Молодости Фото
Прикольные Картинки На Аву 2022
Поделки Аленький Цветочек Фото
Юлия Пельмени Личная Жизнь Муж Фото
Картинка Что Видит Она
Мама Переодевается Фото
Ржачные Картинки Отпуск
Ростов В 90 Фото
Картинка Удали Быстро
Торт Детский Мальчику 4 Года Фото
Подпись К Фото Из Отпуска В Инстаграм
Зис 16 Автобус Фото
Екатерина Суворова Актриса Фото В Купальнике
Полина Денисовна Осипенко Фото
Волга Газ 24 Фото
Как Выглядит Рак Легких На Рентгене Фото
















.jpg)
.jpg)






















































.jpg)





















