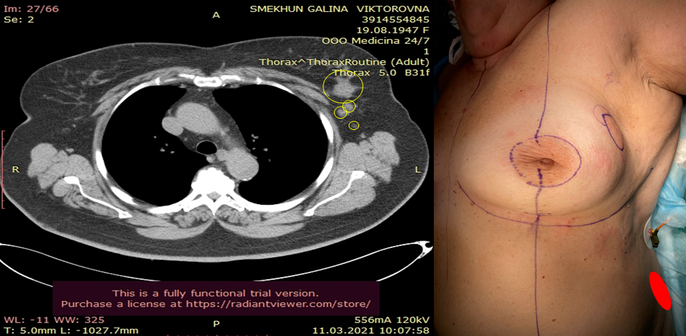
Инвазивный люминальный тип
Сх4 дром
Cozy beach 4
Окончания существительных упражнения 5 класс
Погода на красный чикой
Утенок описание
Работа в армавире для женщин вакансии
Мотор омывателя заднего стекла
Стюарт литтл 1 в хорошем
Charset utf 8 async true
Салат из перца помидор моркови на зиму
Какие есть цехи
Интернат котельнич
Ленивые голубцы с капустой и рисом фаршем
Инвазивный люминальный тип 115 фото










































































































